هدر لوکس نهایی - مطب دندانپزشکی رها
📍 کرج، چهارراه طالقانی، برج طالقانی، طبقه ۱۰، واحد ۵۰۵

مقالات دندانپزشکی

کامپوزیت دندان در دندانپزشکی رها: بازسازی لبخند شما با زیبایی طبیعی

آیا به دنبال راه حلی سریع، مقرون‌به‌صرفه و با حداقل تهاجم برای رفع عیوب ظاهری دندان‌هایتان هستید؟ کامپوزیت دندان، یا همان کامپوزیت ونیر، گزینه‌ای ایده‌آل برای بازگرداندن زیبایی و اعتماد به نفس به لبخند شماست. در دندانپزشکی رها، با بهره‌گیری از بهترین مواد و تجربه متخصصان، لبخندی درخشان و طبیعی را برایتان به ارمغان می‌آوریم.

کامپوزیت دندان چیست؟

کامپوزیت دندان، که اغلب با نام ونیر کامپوزیت شناخته می‌شود، ماده‌ای رزینی (پلیمری) همرنگ دندان است که به طور مستقیم توسط دندانپزشک بر روی سطح دندان‌ها قرار گرفته و شکل داده می‌شود.

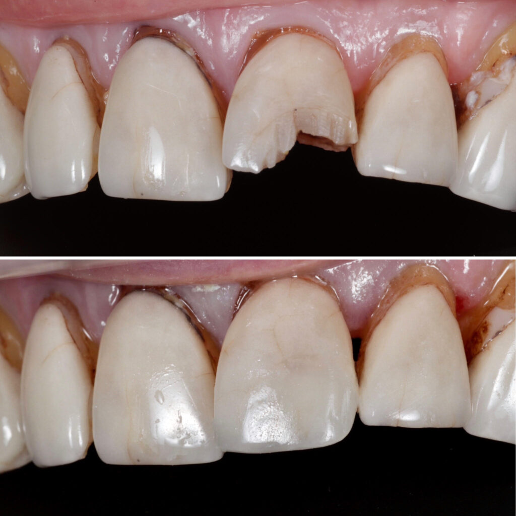
کامپوزیت دندان چیست دندانپزشکی رها کرج

این روش، بدون نیاز به تراش گسترده دندان یا ساخت در لابراتوار، قادر است طیف وسیعی از مشکلات زیبایی را اصلاح کند. کامپوزیت‌ها به دلیل انعطاف‌پذیری در کاربرد و نتیجه طبیعی، انتخابی محبوب در دندانپزشکی زیبایی هستند.

تفاوت کامپوزیت با لمینت سرامیکی

در حالی که هر دو روش لمینت سرامیکی و کامپوزیت دندان برای اصلاح زیبایی لبخند به کار می‌روند، تفاوت‌های کلیدی بین آنها وجود دارد:

ویژگی کامپوزیت دندان (کامپوزیت ونیر)
لمینت سرامیکی (پرسلن ونیر)
جنس ماده رزین کامپوزیت (همرنگ دندان)
پرسلن (سرامیک دندانپزشکی)
فرآیند ساخت مستقیم روی دندان، در یک جلسه غیرمستقیم، در لابراتوار، چند جلسه
تراش دندان حداقل یا بدون تراش حداقل تراش مورد نیاز مقاومت به لک متوسط (مستعد لکه‌پذیری بیشتر)عالی (بسیار مقاوم به لک) دوام 5 تا 7 سال10 تا 15 سال یا بیشترترمیم‌پذیریبله، به راحتی قابل ترمیم استدر صورت لب‌پریدگی نیاز به تعویض داردهزینهکمتربیشترزیباییطبیعی، اما کمی کمتر از سرامیکفوق‌العاده طبیعی و درخشان

مزایای کامپوزیت دندان

کامپوزیت دندان به دلیل ویژگی‌های منحصربه‌فرد خود، مزایای قابل توجهی را به همراه دارد:

مزایای کامپوزیت دندان
  • حداقل تهاجم و حفظ ساختار دندان: در بسیاری از موارد، نیازی به تراشیدن یا برداشتن بخش زیادی از مینای دندان نیست، که به حفظ سلامت و استحکام طبیعی دندان کمک می‌کند.
  • سرعت درمان: معمولاً فرآیند کامپوزیت ونیر در یک جلسه درمانی (بسته به تعداد دندان‌ها) به پایان می‌رسد.

  • مقرون‌به‌صرفه: هزینه کامپوزیت دندان نسبت به لمینت‌های سرامیکی کمتر است.

  • قابلیت ترمیم و اصلاح: در صورت لب‌پر شدن یا شکستگی جزئی، کامپوزیت به راحتی قابل ترمیم و پولیش مجدد است، بدون نیاز به تعویض کامل.

  • زیبایی طبیعی: با تنوع رنگی بالا، کامپوزیت‌ها می‌توانند با رنگ دندان‌های طبیعی شما مطابقت داده شوند و ظاهری کاملاً طبیعی ایجاد کنند.

  • اصلاح طیف وسیعی از مشکلات: تغییر رنگ، شکستگی‌های جزئی، بستن فاصله بین دندان‌ها (دیاستم)، اصلاح فرم و اندازه دندان‌ها و پوشاندن ناهمواری‌های سطحی.

چه کسانی کاندیدای مناسب کامپوزیت دندان هستند؟

کامپوزیت دندان می‌تواند برای افرادی که دارای یکی از مشکلات زیر هستند، گزینه‌ای مناسب باشد:

  • تغییر رنگ دندان‌ها: لکه‌های سطحی یا تغییر رنگ‌هایی که با بلیچینگ برطرف نمی‌شوند.

  • شکستگی یا لب‌پر شدن جزئی دندان‌ها: ترمیم دندان‌هایی که دچار آسیب‌های کوچک شده‌اند.

  • فواصل کوچک بین دندان‌ها (دیاستم): بستن فاصله‌های ناخواسته بین دندان‌ها.

  • دندان‌های نامنظم یا با فرم نامناسب: اصلاح شکل و اندازه دندان‌ها برای ایجاد یک لبخند متقارن.

  • دندان‌های کج با ناهنجاری‌های جزئی: در مواردی که ارتودنسی لازم نیست، کامپوزیت می‌تواند کجی‌های جزئی را پنهان کند.

  • ترمیم پرکردگی‌های قدیمی و تغییر رنگ داده: جایگزینی پرکردگی‌های آمالگام تیره با کامپوزیت همرنگ دندان.

نکته مهم: پیش از هر اقدامی، دندانپزشک سلامت دهان و دندان شما را به دقت بررسی می‌کند. وجود پوسیدگی، بیماری لثه یا سایش شدید دندان‌ها ممکن است نیاز به درمان‌های پیش‌نیاز داشته باشد.

مراحل انجام کامپوزیت دندان در دندانپزشکی رها

فرآیند کامپوزیت دندان در دندانپزشکی رها به صورت زیر انجام می‌شود:

  1. مشاوره و معاینه اولیه: دندانپزشک وضعیت سلامت دهان و دندان شما را بررسی می‌کند و درباره انتظارات زیبایی شما صحبت می‌شود. انتخاب رنگ و فرم مناسب کامپوزیت در این مرحله انجام می‌گیرد.

  2. آماده‌سازی دندان: سطح دندان‌ها تمیز شده و سپس با استفاده از محلول اسیدی مخصوص (اچینگ) برای افزایش چسبندگی مواد کامپوزیتی آماده‌سازی می‌شود. در صورت نیاز، تراش بسیار جزئی (اغلب در حد میکرون) روی سطح دندان انجام می‌شود.

  3. قرار دادن و شکل‌دهی کامپوزیت: دندانپزشک به تدریج لایه‌های نازکی از مواد کامپوزیتی را بر روی سطح دندان قرار داده و با مهارت و دقت بالا به آن شکل می‌دهد تا فرم و کانتور مورد نظر حاصل شود.

  4. سخت کردن با نور: هر لایه از کامپوزیت با استفاده از نور آبی مخصوص (لایت‌کیور) سفت و سخت می‌شود.

  5. پولیش و پرداخت نهایی: پس از اتمام شکل‌دهی و سخت شدن، کامپوزیت‌ها به دقت پولیش و پرداخت می‌شوند تا سطحی صاف و براق شبیه به مینای دندان طبیعی پیدا کنند و با دندان‌های مجاور و مقابل در هماهنگی کامل باشند.

مراقبت‌های پس از کامپوزیت

برای افزایش طول عمر و حفظ زیبایی کامپوزیت دندان، رعایت نکات زیر ضروری است:

  • رعایت بهداشت دهان و دندان: مسواک زدن حداقل دو بار در روز با مسواک نرم و خمیر دندان فلورایددار، و استفاده روزانه از نخ دندان.

  • پرهیز از مصرف بیش از حد مواد رنگی: کامپوزیت‌ها نسبت به لمینت سرامیکی مستعد لکه‌پذیری بیشتری هستند. مصرف چای، قهوه، نوشابه‌های رنگی، سس‌های تیره و سیگار را به حداقل برسانید. در صورت مصرف، بلافاصله دهان خود را با آب بشویید.

  • پرهیز از عادت‌های مضر: از جویدن اجسام سخت (مانند یخ، مداد)، ناخن جویدن و باز کردن در بطری‌ها با دندان خودداری کنید.

  • مراجعه منظم به دندانپزشک: هر 6 ماه یک بار برای چکاپ و پولیش کردن کامپوزیت‌ها مراجعه کنید. پولیش منظم به حفظ درخشندگی و کاهش لکه‌پذیری کمک می‌کند.

  • استفاده از محافظ دندان (نایت گارد): اگر دچار دندان‌قروچه هستید، حتماً از محافظ شبانه استفاده کنید تا از وارد آمدن فشار بیش از حد به کامپوزیت‌ها جلوگیری شود.

چرا دندانپزشکی رها:

در دندانپزشکی رها، ما به شما اطمینان می‌دهیم که با تیمی از دندانپزشکان مجرب و متعهد، و با استفاده از بهترین مواد و تکنیک‌های روز دنیا، بهترین نتیجه را در زمینه کامپوزیت دندان به دست خواهید آورد:

  • متخصصین مجرب و هنرمند: دندانپزشکان ما با دقت و ظرافت هنرمندانه، بهترین نتیجه زیبایی را برای شما خلق می‌کنند.

  • استفاده از مواد کامپوزیتی با کیفیت بالا: ما فقط از برندهای معتبر و مواد کامپوزیتی با استحکام و زیبایی بالا استفاده می‌کنیم.

  • رویکرد فردمحور: لبخند شما منحصر به فرد است. ما با در نظر گرفتن ویژگی‌های صورت و انتظارات شما، لبخندی طبیعی و متناسب با شما طراحی می‌کنیم.

  • محیط آرام و مدرن: کلینیک ما با فضایی آرام و تجهیزات پیشرفته، تجربه‌ای دلپذیر از درمان دندانپزشکی را برای شما فراهم می‌آورد.

  • مشاوره تخصصی و شفاف: ما تمامی گزینه‌های درمانی را با شما در میان می‌گذاریم و به تمام سوالات شما پاسخ می‌دهیم تا با آگاهی کامل تصمیم بگیرید.

نتیجه‌گیری:

کامپوزیت دندان یک راه حل فوق‌العاده برای افرادی است که می‌خواهند لبخند خود را به سرعت و با حداقل تغییر در ساختار طبیعی دندان، بهبود بخشند. در دندانپزشکی رها، ما متعهد به ارائه بالاترین کیفیت درمان و خلق لبخندی زیبا و طبیعی برای شما هستیم.

برای کسب اطلاعات بیشتر و دریافت مشاوره رایگان، همین امروز با دندانپزشکی رها تماس بگیرید و قدم اول را به سوی لبخندی که همیشه آرزویش را داشته‌اید، بردارید.

منابع:

 

  1. انجمن دندانپزشکی آمریکا (ADA)

https://www.ada.org

  1. کلینیک مایو – ترمیم دندان و ونیر

https://www.mayoclinic.org

  1. سازمان جهانی بهداشت (WHO) – بهداشت دهان و دندان

https://www.who.int

  1. ژورنال دندانپزشکی زیبایی (Journal of Cosmetic Dentistry)

https://www.aacd.com

سایدبار خدمات مطب دندانپزشکی رها
معرفی دکتر دانیال معدن‌کن
معرفی دندانپزشک
دکتر دانیال معدن‌کن

دکتر دانیال معدن‌کن

دکترای حرفه‌ای دندانپزشکی

تماس با ما