هدر لوکس نهایی - مطب دندانپزشکی رها
📍 کرج، چهارراه طالقانی، برج طالقانی، طبقه ۱۰، واحد ۵۰۵

مقالات دندانپزشکی

جرم‌گیری دندان | راهی برای لبخندی سالم و درخشان در دندانپزشکی رها

فهرست مطالب

مقدمه: کلید سلامت و زیبایی لبخند شما

لبخندی زیبا و سالم، نه تنها اعتماد به نفس شما را افزایش می‌دهد، بلکه نشانه‌ای از سلامت کلی بدن شماست. در رها دنتال کلینیک، ما معتقدیم که مراقبت‌های پیشگیرانه، سنگ بنای داشتن دهانی سالم است. یکی از مهم‌ترین و در عین حال ساده‌ترین روش‌های حفظ سلامت و زیبایی دندان‌ها، “جرم‌گیری دندان” است. این فرآیند که اغلب نادیده گرفته می‌شود، نقشی حیاتی در جلوگیری از بیماری‌های لثه، پوسیدگی دندان و حفظ درخشندگی لبخند شما ایفا می‌کند. جرم‌گیری منظم، به خصوص در کلینیک‌های معتبر مانند رها دنتال، گامی اساسی در مسیر داشتن لبخندی است که همیشه آرزویش را داشته‌اید. در این مقاله، به طور جامع به بررسی جرم‌گیری دندان، چرایی اهمیت آن، و چگونگی انجام آن در رها دنتال کلینیک می‌پردازیم.

جرم دندان چیست و چگونه تشکیل می‌شود؟

برای درک اهمیت جرم‌گیری، ابتدا باید بدانیم جرم دندان چیست و از کجا می‌آید.

فواید جرم گیری دندان

 

پلاک دندانی: آغازگر ماجرا

اولین مرحله در تشکیل جرم، ایجاد “پلاک دندانی” است. پلاک یک لایه نازک، چسبناک و بی‌رنگ یا زرد رنگ از باکتری‌ها، بقایای غذا و بزاق است که به طور مداوم بر روی سطح دندان‌ها، به خصوص در نزدیکی خط لثه و بین دندان‌ها تشکیل می‌شود. این باکتری‌ها از قندهای موجود در غذاها تغذیه کرده و اسید تولید می‌کنند که می‌تواند به مینای دندان آسیب رسانده و منجر به پوسیدگی شود. اگر پلاک به طور مرتب و کامل با مسواک زدن و نخ دندان کشیدن از روی دندان‌ها پاک نشود، با گذشت زمان و جذب مواد معدنی از بزاق، سخت شده و به “جرم” یا “تارتار” تبدیل می‌شود.

تبدیل پلاک به جرم (تارتار)

جرم، پلاک سخت شده‌ای است که دیگر با مسواک زدن معمولی پاک نمی‌شود. جرم معمولاً به رنگ زرد یا قهوه‌ای است و بیشتر در نواحی دور از دسترس مسواک (مانند پشت دندان‌های پیشین فک پایین و سطح خارجی دندان‌های آسیا) مشاهده می‌شود. با گذشت زمان، جرم بیشتری روی جرم قبلی انباشته شده و ضخیم‌تر و سفت‌تر می‌شود.

عوامل موثر در تشکیل جرم:

چندین عامل می‌توانند در سرعت و شدت تشکیل جرم دندانی نقش داشته باشند:

  • عدم رعایت بهداشت دهان و دندان: مهم‌ترین عامل، مسواک زدن نامنظم و ناکافی و همچنین عدم استفاده صحیح از نخ دندان است. این امر باعث می‌شود پلاک دندانی برای مدت طولانی‌تری روی دندان‌ها باقی بماند و فرصت سخت شدن و تبدیل به جرم را پیدا کند.

  • رژیم غذایی نامناسب: مصرف زیاد قندها، کربوهیدرات‌های نشاسته‌ای و نوشیدنی‌های شیرین، تغذیه باکتری‌های مولد پلاک را تسهیل کرده و به تشکیل سریع‌تر جرم کمک می‌کند.

  • سیگار کشیدن و مصرف دخانیات: نیکوتین و سایر مواد شیمیایی موجود در دخانیات، نه تنها باعث تغییر رنگ دندان‌ها و ایجاد بوی بد دهان می‌شوند، بلکه به چسبندگی بیشتر پلاک و جرم به سطح دندان کمک کرده و روند تشکیل جرم را تسریع می‌بخشند. همچنین، سیگار کشیدن، توانایی بدن برای مبارزه با عفونت‌های لثه را کاهش داده و وضعیت بیماری‌های لثه را وخیم‌تر می‌کند.

  • خشکی دهان (Xerostomia): بزاق نقش مهمی در شستشوی دهان و خنثی کردن اسیدها دارد. کاهش جریان بزاق به دلیل برخی داروها، بیماری‌ها یا شرایط پزشکی، می‌تواند باعث افزایش تشکیل پلاک و جرم شود.

  • وضعیت دندان‌ها و نحوه قرارگیری آن‌ها: دندان‌هایی که کج هستند یا روی هم قرار گرفته‌اند، ممکن است تمیز کردن آن‌ها دشوارتر باشد و در نتیجه بیشتر مستعد تشکیل پلاک و جرم باشند.

چرا باید جرم‌گیری کنیم؟ (علائم و پیامدها)

جرم دندانی فقط یک مشکل زیبایی نیست، بلکه می‌تواند به سلامت دهان و حتی سلامت کلی بدن شما آسیب جدی وارد کند. نادیده گرفتن جرم می‌تواند پیامدهای ناخوشایندی داشته باشد:

بوی بد دهان (هالیتوزیس)

جرم‌ها به دلیل تجمع باکتری‌ها، منبع اصلی بوی نامطبوع دهان هستند. این باکتری‌ها مواد غذایی تجزیه شده را مصرف کرده و گازهای گوگردی ساطع می‌کنند که باعث بوی بد دهان می‌شود. جرم‌گیری منظم، با حذف جرم و باکتری‌ها، به طور چشمگیری این مشکل را برطرف می‌کند.

خونریزی و التهاب لثه (ژنژیویت)

تجمع پلاک و جرم در نزدیکی خط لثه، باعث تحریک و التهاب لثه می‌شود. این وضعیت که “ژنژیویت” نامیده می‌شود، معمولاً با علائمی چون قرمز شدن لثه‌ها، تورم و خونریزی هنگام مسواک زدن یا نخ دندان کشیدن همراه است. اگر ژنژیویت درمان نشود، می‌تواند به مراحل پیشرفته‌تر بیماری لثه (پریودنتیت) تبدیل شود.

تغییر رنگ دندان‌ها و کدر شدن لبخند

جرم‌ها به دلیل جذب رنگدانه‌ها از غذاها، نوشیدنی‌ها (مانند قهوه، چای، نوشابه) و دود سیگار، باعث تغییر رنگ و کدر شدن دندان‌ها می‌شوند. این امر زیبایی لبخند شما را تحت تاثیر قرار داده و باعث کاهش اعتماد به نفس می‌شود. جرم‌گیری، لایه‌های سطحی جرم و لکه‌ها را پاک کرده و لبخندی روشن‌تر و سالم‌تر را به شما باز می‌گرداند.

افزایش خطر پوسیدگی و بیماری‌های پریودنتال (لثه و استخوان)

جرم‌ها سطوح ناهمواری را برای چسبیدن پلاک فراهم می‌کنند. همانطور که گفته شد، باکتری‌های موجود در پلاک، اسید تولید کرده و باعث پوسیدگی دندان می‌شوند. همچنین، التهاب ناشی از جرم و پلاک می‌تواند به بافت‌های حمایت‌کننده دندان (لثه و استخوان فک) آسیب برساند. این بیماری که “پریودنتیت” نام دارد، می‌تواند به مرور زمان منجر به تحلیل استخوان، لق شدن دندان‌ها و در نهایت از دست دادن آن‌ها شود.

لق شدن و از دست دادن دندان‌ها در موارد شدید

در مراحل پیشرفته بیماری پریودنتال، التهاب و عفونت به استخوان فکی که دندان‌ها را نگه داشته است، سرایت می‌کند. این عفونت باعث تخریب استخوان و از بین رفتن حمایت از ریشه دندان می‌شود. در نتیجه، دندان‌ها لق شده و اگر درمان نشوند، ممکن است بیفتند. جرم‌گیری حرفه‌ای، گامی حیاتی در پیشگیری و کنترل این بیماری ویرانگر است.

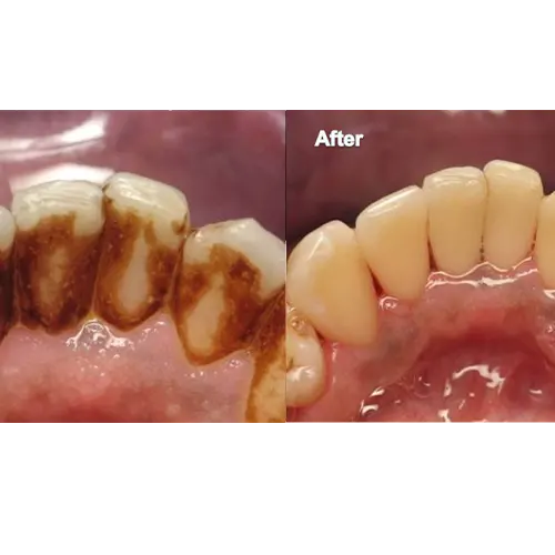
مراحل جرم‌گیری دندان در دندانپزشکی رها: تجربه‌ای حرفه‌ای و راحت

در رها دنتال کلینیک، فرآیند جرم‌گیری با دقت و حوصله و با استفاده از به‌روزترین تکنیک‌ها و تجهیزات انجام می‌شود تا تجربه‌ای ایمن، راحت و مؤثر برای شما رقم بخورد.

جرم‌گیری دندان دندانپزشکی رها

 

۱. معاینه اولیه: درک وضعیت سلامت دهان شما

اولین گام در هر جلسه جرم‌گیری، یک معاینه کامل توسط دندانپزشک یا متخصص بهداشت دهان و دندان است. در این مرحله، دندانپزشک با استفاده از ابزارهای مخصوص، وضعیت کلی دندان‌ها، لثه‌ها و میزان جرم و پلاک را بررسی می‌کند. همچنین، علائم بیماری لثه یا پوسیدگی‌های احتمالی نیز ارزیابی می‌شوند تا در صورت نیاز، درمان‌های لازم پیشنهاد گردند. این معاینه به ما کمک می‌کند تا برنامه درمانی مناسب و متناسب با نیازهای خاص شما را تنظیم کنیم.

۲. استفاده از دستگاه اولتراسونیک (سونیک): روشی پیشرفته و بدون درد

رها دنتال کلینیک افتخار دارد که از پیشرفته‌ترین دستگاه‌های اولتراسونیک (یا اسکالر سونوگرافیک) برای جرم‌گیری استفاده می‌کند. نحوه کار این دستگاه به این صورت است:

  • امواج صوتی با فرکانس بالا: نوک فلزی این دستگاه با فرکانس بسیار بالایی (صدها هزار لرزش در ثانیه) مرتعش می‌شود. این لرزش‌ها امواج صوتی ایجاد می‌کنند که قادر به شکستن و جدا کردن لایه‌های سخت جرم از سطح دندان هستند.

  • جریان آب یا محلول شستشو: همزمان با ارتعاش، آب یا محلول ضدعفونی‌کننده از نوک دستگاه خارج می‌شود. این مایع نه تنها به خنک شدن نوک دستگاه کمک می‌کند، بلکه جرم‌های جدا شده را شسته و از محل خارج می‌سازد.

  • مزایای استفاده از دستگاه اولتراسونیک:

    • بدون درد: در اکثر موارد، استفاده از این دستگاه بدون درد است، زیرا لرزش‌ها بسیار ریز و سریع هستند و نوک دستگاه به طور مداوم در حرکت است. گاهی ممکن است حس خفیف سوزن سوزن شدن یا لرزش را احساس کنید.

    • سریع و موثر: امواج فراصوت به سرعت جرم‌های سخت را تجزیه کرده و فرآیند جرم‌گیری را تسریع می‌بخشند.

    • کارآمد در مناطق دشوار: این دستگاه قادر است جرم‌ها را حتی در نواحی زیر لثه و بین دندان‌ها نیز به خوبی پاک کند.

۳. کورتاژ (در صورت نیاز): پاکسازی عمیق‌تر

در مواردی که جرم‌ها به شدت در زیر خط لثه تجمع یافته‌اند و یا بافت‌های لثه دچار التهاب شده‌اند، ممکن است نیاز به انجام “کورتاژ” باشد. کورتاژ شامل استفاده از ابزارهای دستی ظریف‌تر (مانند کورت) برای برداشتن دقیق و کامل جرم‌ها و بافت‌های عفونی از سطح ریشه دندان و پاکسازی عمق پاکت‌های لثه است. این مرحله برای بازگرداندن سلامت لثه و جلوگیری از پیشرفت بیماری پریودنتال بسیار اهمیت دارد.

۴. پولیش دندان: سطحی صاف و درخشان

پس از برداشتن کامل جرم‌ها، سطح دندان‌ها ممکن است کمی ناهموار باقی بماند. برای ایجاد سطحی صاف و صیقلی، دندانپزشک از ابزارهای مخصوص پولیش (مانند مسواک‌های دورانی با خمیر مخصوص) استفاده می‌کند. پولیش نه تنها به حذف باقی‌مانده لکه‌های سطحی و افزایش درخشندگی دندان‌ها کمک می‌کند، بلکه مهم‌تر از آن، از چسبیدن مجدد پلاک و تشکیل سریع‌تر جرم در آینده جلوگیری می‌نماید. سطح صاف، مقاومت بیشتری در برابر تجمع باکتری‌ها دارد.

۵. فلورایدتراپی (در صورت نیاز): محافظت بیشتر از مینای دندان

در برخی موارد، به خصوص اگر مینای دندان ضعیف باشد یا بیمار در معرض خطر بالای پوسیدگی قرار داشته باشد، دندانپزشک ممکن است توصیه به انجام فلورایدتراپی کند. فلوراید با تقویت ساختار مینای دندان، مقاومت آن را در برابر اسیدهای مضر افزایش داده و به پیشگیری از پوسیدگی کمک می‌کند. این درمان معمولاً به صورت اعمال ژل، فوم یا وارنیش فلوراید بر روی دندان‌ها انجام می‌شود.

مزایای جرم‌گیری منظم: سرمایه‌گذاری بر سلامت و زیبایی

جرم‌گیری منظم و حرفه‌ای، مجموعه‌ای از مزایای بلندمدت را برای سلامت دهان و دندان و همچنین سلامت کلی بدن شما به ارمغان می‌آورد:

  • پیشگیری قوی از بیماری‌های لثه و پوسیدگی: این مهم‌ترین فایده جرم‌گیری است. با حذف جرم و پلاک، که عوامل اصلی بیماری‌های لثه (ژنژیویت و پریودنتیت) و پوسیدگی دندان هستند، شما خطر ابتلا به این مشکلات را به طور چشمگیری کاهش می‌دهید.

  • بهبود قابل توجه بوی بد دهان: جرم‌گیری، منبع اصلی بوی نامطبوع دهان را از بین می‌برد و نفس شما را تازه و پاکیزه نگه می‌دارد.

  • زیبایی و درخشندگی بیشتر لبخند: جرم‌گیری، لکه‌های سطحی و جرم‌های زرد و قهوه‌ای را پاک کرده و باعث می‌شود دندان‌های شما سفیدتر و براق‌تر به نظر برسند، که این خود به زیبایی لبخند شما می‌افزاید.

  • حفظ سلامت عمومی بدن: تحقیقات علمی نشان داده‌اند که سلامت دهان و دندان با سلامت کلی بدن ارتباط تنگاتنگی دارد. بیماری‌های لثه مزمن با افزایش خطر ابتلا به بیماری‌های قلبی، دیابت، سکته مغزی، مشکلات بارداری و حتی برخی سرطان‌ها مرتبط دانسته شده‌اند. با مراقبت از سلامت دهان از طریق جرم‌گیری منظم، شما در واقع به سلامت عمومی بدن خود نیز کمک می‌کنید.

  • افزایش طول عمر دندان‌های طبیعی: دندان‌های سالم و بدون بیماری لثه، برای سال‌های طولانی‌تری در دهان باقی می‌مانند. جرم‌گیری منظم به حفظ سلامت بافت‌های نگهدارنده دندان کمک کرده و از افتادن دندان‌ها در اثر بیماری جلوگیری می‌کند.

تفاوت جرم‌گیری و بلیچینگ (سفید کردن دندان): رفع ابهام

اغلب افراد بین جرم‌گیری و بلیچینگ (سفید کردن دندان) دچار سردرگمی می‌شوند. لازم است بدانید که این دو فرآیند اهداف متفاوتی دارند:

  • جرم‌گیری: هدف اصلی جرم‌گیری، سلامت دهان و دندان است. جرم‌گیری جرم و پلاک‌های سخت و نرم را از سطح دندان‌ها پاک می‌کند و از بروز بیماری‌های لثه و پوسیدگی جلوگیری می‌کند. جرم‌گیری رنگ طبیعی دندان را حفظ کرده و آن را از عوامل مضر پاک می‌کند.

  • بلیچینگ (سفید کردن دندان): هدف اصلی بلیچینگ، زیبایی و روشن‌تر کردن رنگ دندان‌ها است. بلیچینگ با استفاده از مواد شیمیایی خاص، رنگدانه‌هایی را که باعث تیرگی دندان‌ها شده‌اند، از بین می‌برد و دندان‌ها را چندین درجه سفیدتر می‌کند. بلیچینگ معمولاً بر روی دندان‌هایی که جرم‌گیری شده‌اند و سطح آن‌ها تمیز است، انجام می‌شود.

بنابراین، جرم‌گیری یک اقدام درمانی و پیشگیرانه برای حفظ سلامت است، در حالی که بلیچینگ یک روش زیبایی برای بهبود رنگ دندان‌هاست.

آیا جرم‌گیری به دندان آسیب می‌رساند؟ (باورهای غلط رایج)

یکی از رایج‌ترین نگرانی‌هایی که مراجعین در مورد جرم‌گیری دارند، این است که آیا این فرآیند به دندان‌ها آسیب می‌زند؟ بیایید به این باورهای غلط رایج بپردازیم:

  • باور غلط ۱: جرم‌گیری باعث حساس شدن دندان‌ها می‌شود.

    • واقعیت: در واقع، جرم‌هایی که روی دندان‌ها انباشته شده‌اند، مانند یک پوشش عایق عمل می‌کنند و ممکن است در ابتدا باعث عدم احساس سرما یا گرما شوند. پس از جرم‌گیری، وقتی این پوشش برداشته می‌شود، ممکن است برای مدت کوتاهی (معمولاً چند روز) دندان‌ها به سرما و گرما حساس‌تر شوند. این حساسیت طبیعی است و به مرور زمان از بین می‌رود. اگر حساسیت شدید یا طولانی‌مدت بود، حتماً با دندانپزشک خود در میان بگذارید.

  • باور غلط ۲: جرم‌گیری باعث ایجاد فاصله بین دندان‌ها می‌شود.

    • واقعیت: جرم‌ها فضایی را بین دندان‌ها و لثه اشغال می‌کنند. زمانی که جرم‌گیری انجام می‌شود و جرم‌ها برداشته می‌شوند، لثه‌ها که از قبل ملتهب و متورم بوده‌اند، به مرور زمان سلامت خود را بازیابی کرده و به حالت طبیعی خود بازمی‌گردند. این باعث می‌شود که فضاهای خالی که قبلاً توسط جرم پر شده بودند، آشکار شوند. در واقع، هیچ فاصله‌ای ایجاد نشده، بلکه فقط جرم‌های زائد برداشته شده‌اند.

  • باور غلط ۳: جرم‌گیری مینای دندان را از بین می‌برد.

    • واقعیت: جرم‌گیری اصولی و حرفه‌ای، که توسط دندانپزشک یا متخصص بهداشت دهان و دندان انجام می‌شود، به گونه‌ای طراحی شده است که فقط جرم و پلاک را پاک کند و به مینای سالم دندان آسیبی نرساند. دستگاه‌های مدرن اولتراسونیک و ابزارهای دستی با دقت بالایی طراحی شده‌اند تا بافت سخت جرم را هدف قرار دهند. دندانپزشکان آموزش دیده‌اند که چگونه این کار را به ایمن‌ترین شکل انجام دهند. در واقع، جرم‌گیری برای حفظ سلامت دندان‌ها ضروری است و عدم انجام آن، بسیار مضرتر است.

نکته مهم: هرگونه جرم‌گیری که توسط افراد غیرمتخصص یا با استفاده از ابزارهای نامناسب انجام شود، می‌تواند به دندان‌ها و لثه‌ها آسیب جدی وارد کند. به همین دلیل، همیشه برای جرم‌گیری به کلینیک‌های معتبر و دندانپزشکان متخصص مراجعه کنید.

فاصله زمانی مناسب برای جرم‌گیری: توصیه‌های دندانپزشکی رها

توصیه کلی برای جرم‌گیری دندان، معمولاً هر ۶ ماه تا ۱ سال یک بار است. اما این یک قاعده کلی است و زمان‌بندی دقیق می‌تواند بسته به شرایط فردی شما متفاوت باشد. عواملی که بر زمان‌بندی جرم‌گیری تاثیر می‌گذارند عبارتند از:

  • میزان سرعت تشکیل جرم در دهان شما: برخی افراد به طور طبیعی سریع‌تر جرم تشکیل می‌دهند.

  • رعایت بهداشت دهان و دندان: اگر به طور منظم و صحیح مسواک می‌زنید و از نخ دندان استفاده می‌کنید، ممکن است فاصله زمانی بین جلسات جرم‌گیری شما طولانی‌تر شود.

  • سابقه بیماری‌های لثه: افرادی که سابقه بیماری‌های لثه یا پریودنتیت داشته‌اند، ممکن است نیاز به ویزیت‌های منظم‌تر (مثلاً هر ۳ تا ۴ ماه) برای جرم‌گیری و کنترل داشته باشند.

  • عادات سبک زندگی: سیگار کشیدن یا رژیم غذایی نامناسب می‌تواند نیاز به جرم‌گیری مکرر را افزایش دهد.

بهترین راه برای تعیین زمان‌بندی مناسب برای شما، مشورت با دندانپزشک یا متخصص بهداشت دهان در رها دنتال کلینیک است. آن‌ها با بررسی وضعیت دهان شما، بهترین برنامه را برای حفظ سلامت دندان‌هایتان توصیه خواهند کرد.

مراقبت‌های بعد از جرم‌گیری: حفظ نتایج و سلامت

پس از انجام جرم‌گیری حرفه‌ای در رها دنتال کلینیک، رعایت چند نکته ساده به حفظ سلامت و شادابی دندان‌ها و لثه‌های شما کمک شایانی می‌کند:

  • رعایت دقیق بهداشت دهان و دندان:

    • مسواک زدن: روزانه حداقل دو بار، با استفاده از مسواک نرم و خمیر دندان حاوی فلوراید، دندان‌های خود را مسواک بزنید. تکنیک صحیح مسواک زدن بسیار مهم است.

    • نخ دندان: هر روز حداقل یک بار از نخ دندان استفاده کنید تا فضاهای بین دندانی که مسواک به آن‌ها دسترسی ندارد، تمیز شوند.

    • دهانشویه (در صورت توصیه): دندانپزشک ممکن است دهانشویه‌های ضدعفونی‌کننده یا حاوی فلوراید را برای مدت کوتاهی توصیه کند.

  • رژیم غذایی مناسب:

    • سعی کنید مصرف قندها، شیرینی‌جات و غذاهای چسبناک را محدود کنید.

    • پس از مصرف غذاهای شیرین یا اسیدی، دهان خود را با آب بشویید.

    • مصرف میوه‌ها و سبزیجات تازه را در رژیم غذایی خود بگنجانید.

  • پرهیز از مصرف دخانیات:

    • سیگار کشیدن و مصرف هرگونه دخانیات، نه تنها باعث تغییر رنگ دندان‌ها و بوی بد دهان می‌شود، بلکه روند ترمیم لثه را کند کرده و خطر ابتلا به بیماری‌های لثه را افزایش می‌دهد. ترک دخانیات یکی از بهترین اقداماتی است که می‌توانید برای سلامت دهان و دندان خود انجام دهید.

  • نوشیدن آب کافی:

    • نوشیدن آب به شستشوی دهان و دفع باکتری‌ها کمک می‌کند.

چرا دندانپزشکی رها را برای جرم‌گیری انتخاب کنیم؟

انتخاب کلینیک مناسب برای جرم‌گیری، تضمین‌کننده سلامت و زیبایی لبخند شماست. رها دنتال کلینیک با افتخار دلایل انتخاب ما را برای شما بیان می‌کند:

  • استفاده از به‌روزترین تجهیزات: ما متعهد به ارائه بهترین خدمات هستیم و به همین دلیل از پیشرفته‌ترین دستگاه‌های اولتراسونیک و ابزارهای دندانپزشکی مدرن استفاده می‌کنیم تا جرم‌گیری را با حداکثر اثربخشی و راحتی برای شما انجام دهیم.

  • تیم دندانپزشکی متخصص و باتجربه: تیم ما متشکل از دندانپزشکان عمومی، متخصصان بیماری‌های لثه (پریودنتیست‌ها) و متخصصان بهداشت دهان و دندان با دانش روز و تجربه‌ی بالا است. آن‌ها با دقت و مهارت، بهترین درمان را برای شما ارائه می‌دهند.

  • محیطی آرام و بهداشتی: ما فضایی آرام، دلپذیر و کاملاً بهداشتی را برای شما فراهم کرده‌ایم تا در طول درمان احساس راحتی و اطمینان داشته باشید. رعایت بالاترین استانداردهای بهداشتی، اولویت اصلی ماست.

  • مشاوره اختصاصی و ارائه بهترین راه‌حل: در رها دنتال کلینیک، ما تنها به درمان نمی‌پردازیم، بلکه به شما گوش می‌دهیم. دندانپزشکان ما زمان کافی را صرف بررسی وضعیت شما، پاسخگویی به سوالاتتان و ارائه مشاوره‌های اختصاصی برای حفظ سلامت بلندمدت دهان و دندان شما می‌کنند.

سوالات متداول (FAQ) درباره جرم‌گیری دندان

در این بخش به برخی از پرتکرارترین سوالاتی که ممکن است در مورد جرم‌گیری دندان داشته باشید، پاسخ می‌دهیم:

  • آیا جرم‌گیری درد دارد؟

    • معمولاً خیر. جرم‌گیری با دستگاه اولتراسونیک اغلب بدون درد است. ممکن است حس خفیف لرزش یا فشار را احساس کنید. در برخی موارد نادر، اگر لثه‌ها بسیار ملتهب باشند یا جرم عمیق باشد، ممکن است کمی احساس ناراحتی ایجاد شود که معمولاً با بی‌حسی موضعی به راحتی قابل کنترل است.

  • جرم‌گیری چقدر طول می‌کشد؟

    • مدت زمان جرم‌گیری بسته به میزان جرم و وضعیت دهان شما متفاوت است، اما به طور معمول بین ۳۰ دقیقه تا یک ساعت طول می‌کشد.

  • بعد از جرم‌گیری آیا دندان‌ها حساس می‌شوند؟

    • همانطور که قبلاً توضیح داده شد، ممکن است پس از جرم‌گیری، دندان‌ها برای مدت کوتاهی به سرما و گرما حساس‌تر شوند. این حساسیت معمولاً موقتی است و طی چند روز تا یک هفته برطرف می‌شود.

  • آیا بیمه هزینه جرم‌گیری را پوشش می‌دهد؟

    • بسیاری از بیمه‌های درمانی، به خصوص بیمه‌های تکمیلی، بخشی از هزینه‌های جرم‌گیری را به عنوان بخشی از خدمات پیشگیرانه پوشش می‌دهند. برای اطلاع دقیق از پوشش بیمه خود، بهتر است با شرکت بیمه خود یا منشی کلینیک تماس بگیرید.

  • آیا می‌توان جرم دندان را در خانه از بین برد؟

    • خیر. پلاک دندانی را می‌توان با مسواک و نخ دندان در خانه پاک کرد، اما جرم (تارتار) که پلاک سخت شده است، فقط با ابزارهای تخصصی دندانپزشکی قابل برداشتن است. تلاش برای پاک کردن جرم در خانه با ابزارهای تیز یا خانگی می‌تواند به مینای دندان و لثه آسیب جدی وارد کند.

نتیجه‌گیری

جرم‌گیری دندان، بیش از یک روش درمانی، یک سرمایه‌گذاری اساسی در سلامت بلندمدت دهان و دندان و سلامت کلی بدن شماست. لبخندی سالم، زیبا و درخشان، حق شماست و رها دنتال کلینیک آماده است تا شما را در این مسیر یاری کند.

همین امروز گامی به سوی لبخندی سالم‌تر بردارید!

وقت مشاوره و جرم‌گیری خود را در رها دنتال کلینیک تعیین کنید.

سایدبار خدمات مطب دندانپزشکی رها
معرفی دکتر دانیال معدن‌کن
معرفی دندانپزشک
دکتر دانیال معدن‌کن

دکتر دانیال معدن‌کن

دکترای حرفه‌ای دندانپزشکی

تماس با ما