هدر لوکس نهایی - مطب دندانپزشکی رها
📍 کرج، چهارراه طالقانی، برج طالقانی، طبقه ۱۰، واحد ۵۰۵

مقالات دندانپزشکی

ملاحظات پروتزی و طراحی فریم‌ورک در درمان‌های ایمپلنتی

بخش چهارم — ملاحظات پروتزی در حین طرح‌ریزی درمان ایمپلنت

زمانی که یک ایمپلنت به‌خوبی با استخوان اطراف خود یکپارچه می‌شود، موفقیت بلندمدت آن تا حد زیادی به عوامل بیومکانیکی وابسته به ترمیم (پروتز) بستگی دارد. موفقیت به نحوه‌ی توزیع نیروهایی که بر ایمپلنت در حال عملکرد یا بر واحدهای پروتزی متصل به آن وارد می‌شوند بستگی دارد، به‌گونه‌ای که این نیروها موجب حفظ اُسیواینتگِرِیشن (اتصال استخوانی) ایمپلنت شوند.

مشابه دندان‌های طبیعی، ظرفیت باربری یک ایمپلنت یکپارچه‌شده باید بیشتر از نیروی اکلوزالی پیش‌بینی‌شده باشد. نیروهایی که از این ظرفیت باربری فراتر روند، می‌توانند به شکست مکانیکی و یا زیستی منجر شوند. بنابراین، پیش از انجام جراحی برای کارگذاری ایمپلنت، در مرحله‌ی طرح‌ریزی درمان باید به دقت ملاحظات پروتزی در نظر گرفته شوند.


شکست زیستی ایمپلنت و تحلیل استخوان

شکست زیستی ایمپلنت هنگامی رخ می‌دهد که بار عملکردی از ظرفیت باربری در سطح تماس ایمپلنت–استخوان بیشتر شود؛ چه در زمان شکل‌گیری اتصال استخوانی و چه پس از تکمیل آن. نخستین نشانه، تحلیل استخوان در ناحیه‌ی کرونال ایمپلنت است که در صورت تداوم فشار، می‌تواند در سراسر طول ایمپلنت گسترش یافته و نهایتاً موجب لق شدن کامل آن شود.

دندانپزشکانی که با ایمپلنت‌ها کار می‌کنند باید به خاطر داشته باشند که ایمپلنت‌ها فاقد خاصیت ضربه‌گیر لیگامان پریودنتال دندان‌های طبیعی هستند. این لیگامان، حرکت فیزیولوژیک دندان را ممکن می‌سازد و در غیاب التهاب میکروبی، از بروز تحلیل پاتولوژیک استخوان جلوگیری می‌کند — قابلیتی که در ایمپلنت‌های اُسیواینتگریت وجود ندارد.


عوامل مؤثر بر ظرفیت باربری ایمپلنت

ظرفیت باربری ایمپلنت‌ها همانند دندان‌های طبیعی به عوامل متعددی بستگی دارد؛ از جمله:
• تعداد و اندازهٔ ایمپلنت‌ها؛
• آرایش و زاویهٔ قرارگیری ایمپلنت‌ها؛
• حجم و کیفیت رابط استخوان–ایمپلنت.

بخش عمده‌ای از ظرفیت باربری به میزان سطح ایمپلنتی بستگی دارد که استخوان باکیفیت به آن متصل شده است. عواملی که پایداری اولیه را در استخوان سخت افزایش می‌دهند، پس از اتصال پروتز نیز تعیین‌کنندهٔ موفقیت هستند.

استخوان کورتیکال ضخیم و استخوان اسفنجی متراکم که ایمپلنتی بلند و با قطر زیاد را در راستای محور نیروی عملکردی در بر گرفته باشند، بیشترین ظرفیت باربری و بهترین پیش‌آگهی را فراهم می‌کنند. در مقابل، ایمپلنت کوتاه با قطر کم در ناحیه‌ای با استخوان نازک‌تر و تراکم پایین‌تر — به‌ویژه با زاویه‌ای خارج از محور — ظرفیت ضعیف‌تری دارد و پیش‌آگهی آن نیز نامطلوب‌تر است.


زاویه قرارگیری و توزیع نیروهای اکلوزالی

زاویه‌ی قرارگیری ایمپلنت نسبت به صفحه‌ی اکلوزال و جهت نیروهای اکلوزالی نقش کلیدی در بهینه‌سازی انتقال نیرو به ایمپلنت و استخوان اطراف آن دارد. نیروهای واردشده در امتداد محور طولی ایمپلنت به‌خوبی تحمل می‌شوند؛ نیروهای اندکی خارج از محور معمولاً از نظر بالینی مشکلی ایجاد نمی‌کنند.

بااین‌حال، زمانی که نیروها بیش از ۲۰ درجه از محور طولی منحرف باشند، تمرکز تنش به‌طور محسوسی افزایش یافته و معمولاً آغازگر تحلیل استخوان در ناحیهٔ تماس ایمپلنت–استخوان خواهند بود. در صورت تداوم این نیروهای شدید، تحلیل استخوان پیشرفت کرده و سرانجام به شکست ایمپلنت منتهی می‌شود.

ملاحظات بیومکانیکی ایمپلنت — شکل‌های IV‑1 تا IV‑3

شکل IV‑1

شکل IV‑1.

وارد شدن نیرو به‌صورت خارج از محور می‌تواند موجب اعمال نیروهای نامطلوب بر ایمپلنت شود و در اثر بارهای جانبی بیش از حد، موفقیت بلندمدت آن را به خطر اندازد.¹

مشابه دندان‌های طبیعی، تعداد ایمپلنت‌های کارگذاشته‌شده در ناحیه‌های بی‌دندانی بر ظرفیت باربری پروتز متکی بر ایمپلنت تأثیر می‌گذارد. برای مثال، اگر در ناحیه‌ای سه دندان از دست رفته باشند، گزینه‌های پروتزی ثابت عبارت‌اند از:
۱) جایگذاری سه ایمپلنت با سه روکش متصل به هم (اسپلینت‌شده)،
۲) سه ایمپلنت با سه روکش تک‌واحدی مستقل،
۳) دو ایمپلنت به‌عنوان پایه‌های انتهایی برای یک بریج سه‌واحدی ثابت،
۴) یا دو ایمپلنت مجاور با یک بریج دارای پانتیک کنسول (cantilever).

در میان این سه روش، ظرفیت باربری به‌ترتیب با هر گزینهٔ بعدی کاهش می‌یابد.

باید از آرایش خطی یا در یک راستا قرار دادن چند ایمپلنت پرهیز کرد؛ زیرا چنین چینشی از دیدگاه بیومکانیکی کمترین مزیت را دارد و در برابر نیروهای پیچشی ناشی از بارهای اکلوزالی یا جانبی خارج از محور، مقاومت کمتری نشان می‌دهد. در عوض، قرارگیری ایمپلنت‌ها به‌شکل منحنی یا اندکی نامنظم (پله‌پله) انتقال نیروها را به‌صورت بهینه‌تری ممکن می‌سازد (شکل IV‑2).


شکل IV‑2

شکل IV‑2. چیدمان ایمپلنت‌ها.

A) قرارگیری خطی چهار ایمپلنت: نیروهای جانبی می‌توانند در نهایت موجب تحلیل استخوان و شکست ایمپلنت شوند.

B) آرایش کمی نامنظم یا پله‌ای پایداری سه‌بعدی بیشتری ایجاد می‌کند.¹


اتصال یک ایمپلنت اُسیواینتگریت‌شده به یک دندان طبیعی از طریق بریج ثابت، شرایطی شبیه به یک کنسول (cantilever) با بار بیش‌ازحد ایجاد می‌کند. زیرا ایمپلنت برخلاف دندان طبیعی، حرکت فیزیولوژیک ندارد. هنگامی که نیرو به بریج ثابت اعمال می‌شود، دندان به‌دلیل وجود لیگامان پریودنتال اندکی حرکت می‌کند، اما ایمپلنت بی‌حرکت می‌ماند. در نتیجه، تنش‌هایی تا دو برابر نیروی اعمال‌شده بر پروتز در محل اتصال اباتمنت ایمپلنت ایجاد می‌گردد (شکل IV‑3).

افزون بر این، در پروتزهای ثابتی که هم به دندان طبیعی و هم به ایمپلنت متکی هستند، مشکلات زیر ممکن است بروز کند:

  • گسست اُسیواینتگریشن در اطراف ایمپلنت،
  • شکست چسب در پایهٔ دندان طبیعی،
  • شل شدن پیچ یا اباتمنت،
  • و در نهایت، خرابی اجزای پروتزی ایمپلنت.

ملاحظات بیومکانیکی ایمپلنت — شکل‌های IV‑3 و IV‑4

شکل IV‑3

شکل IV‑3.

اگر یک روکش متکی بر ایمپلنت به‌عنوان پایه (اباتمنت) برای یک بریج مورد استفاده قرار گیرد و دندان طبیعی، پایهٔ دیگر آن باشد، تنش ناشی از نیروهای اکلوزالی در قسمت فوقانی ایمپلنت متمرکز خواهد شد و می‌تواند منجر به شکست پیچ ایمپلنت یا اباتمنت گردد.

اضافه‌بار مکانیکی (Mechanical Overload) ممکن است به‌صورت شکست روکش ترمیمی یا شل شدن و شکست پیچ اتصالی (پیچی که اباتمنت یا فریم‌ورک پروتزی را به ایمپلنت متصل می‌کند) بروز کند. در موارد شدیدتر، بار بیش از اندازه می‌تواند نیرویی مخرب به‌حدی وارد کند که حتی خودِ ایمپلنت دچار شکست شود.

نیروهای زیان‌بار می‌توانند به‌طور یاتروژنیک (ناشی از خطای بالینی) نیز اعمال شوند؛ مانند زمانی که یک فریم‌ورک غیرمنطبق و ناپسیو (ill‑fitting) بر روی ایمپلنت قرار داده شود. زمانی‌که برای جا انداختن چنین فریم‌ورکی پیچ‌ها بیش از حد سفت شوند، نیروهای فشاری شدیدی بر سطح تماس ایمپلنت و استخوان وارد می‌گردد. این فشار اضافی معمولاً منجر به تحلیل استخوان و شکست ایمپلنت خواهد شد.


ارزیابی پروتزی (Prosthetic Assessment) فرآیندی است که در آن داده‌های تشخیصی گردآوری‌شده با قضاوت بالینی دندان‌پزشک ترمیم‌کننده، انتظارات بیمار و برداشت تیم درمان از محدودهٔ جراحی ایمن و منطقی ادغام می‌شود تا طرح درمان ایمپلنت تدوین گردد. این ارزیابی چندعاملی، منحصربه‌فرد برای هر بیمار است و می‌تواند از ساده تا بسیار پیچیده متغیر باشد.

نقطهٔ آغاز معمول در این ارزیابی، تعیین موارد زیر است:

  1. چه چیز باید جایگزین شود؟ (یک دندان منفرد، چند دندان یا تمام دندان‌های بیمار)
  2. آیا دندان جایگزین‌شونده عملکردی‌تر است (مانند مولر اول فک پایین) یا جنبهٔ زیبایی آن مهم‌تر است (مانند دندان پیشین مرکزی فک بالا)؟
  3. آیا بیمار انتظار گزینهٔ پروتز ثابت دارد یا قابل برداشت؟
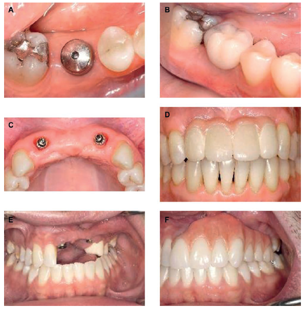
  4. آیا راه‌حل پروتزی شامل جایگزینی فقط دندان است یا دندان و بافت لثه و یا دندان، استخوان و لثه می‌باشد؟ (شکل IV‑4)

شکل IV‑4

شکل IV‑4. گزینه‌های درمان ایمپلنت.

A، B: جایگزینی یک دندان منفرد — جایگزینی دندان مولر اول فک پایین.

C، D: بازسازی دندان‌های از دست‌رفته از پیشین کناری راست فک بالا تا پیشین کناری چپ؛ در این حالت، پروتز دندان‌ها و بافت لثه را جایگزین می‌کند.

E، F: بازسازی دندان‌های از دست‌رفته از پیشین مرکزی راست فک بالا تا نیش چپ؛ این طرح شامل جایگزینی دندان، بافت لثه و استخوان است.¹

ارزیابی دندان‌های باقی‌مانده و ملاحظات بیومکانیکی

در بیمارانی که به‌صورت جزئی بی‌دندان (Partially Edentulous) هستند، ارزیابی دندان‌های طبیعی باقی‌مانده و میزان حمایت پریودنتال آن‌ها امری کاملاً ضروری است. در این مرحله باید پیش‌آگهی دندان‌های باقیمانده و ارزش آن‌ها در سلامت کلی دهان و دندان بیمار مشخص شود.

اگر بیمار تنها یک دندان از دست داده باشد و سایر دندان‌ها سالم باشند، پیش‌آگهی سلامت دهان او روشن است. اما اگر بیمار فقط چند دندان پراکنده در قوس‌های فک بالا و پایین داشته باشد و این دندان‌ها به‌شدت ترمیم شده، دارای مشکلات پریودنتال و با پیش‌آگهی ضعیف یا مشکوک باشند، باید تصمیم‌گیری شود که آیا حضور این دندان‌ها ارزش پروتزی دارد یا ممکن است نتیجهٔ زیبایی کار را تحت‌تأثیر منفی قرار دهد. در بعضی از موارد، کشیدن دندان‌های باقی‌مانده ممکن است بهترین تصمیم درمانی باشد.


همچنین باید اکلوژن (ارتباط دندان‌ها هنگام بسته شدن فک‌ها) بیمار مورد بررسی قرار گیرد تا مشخص شود آیا اجزای اکلوژن در شرایط مطلوبی هستند یا نیاز به بازسازی دارند. دندان‌پزشک باید طرح اکلوزالی را نیز ارزیابی کند (برای مثال: اکلوژن محافظت‌شده به‌وسیلهٔ نیش ـ canine protected ـ ، عملکرد گروهی ـ group function ـ یا ترکیبی از این دو).

اکلوژن بیمار باید از لحاظ طبقه‌بندی (کلاس I، کلاس II، کلاس III) و همچنین تطابق آن با طبقه‌بندی اسکلتی (Angle Class I، II، III) بررسی گردد. همچنین باید وضعیت‌هایی مانند اپن‌بایت (بازبودگی عمودی)، دیپ‌بایت (گزیختگی عمودی)، کراس‌بایت (تقاطع عرضی) و نیز منحنی‌های ویلسون (Curves of Wilson) و اشپی (Curve of Spee) شناسایی و از نظر تأثیر احتمالی آن‌ها بر پروتز موردنظر ارزیابی شوند.

همچنین لازم است جبران‌های دندانی ناشی از ناهنجاری‌های دندانی یا اسکلتی نیز مورد توجه قرار گیرند؛ از جمله:

  • سطح‌های سایشی (wear facets)
  • ضایعات ابفرکشن (abfraction lesions)
  • تحلیل لثه (gingival recession)
  • لقی دندانی (mobility)
  • جابه‌جایی دندان (migration)
  • گشودگی دندان‌های قدامی (anterior splaying)
  • انحراف مزیالی مولرها یا انحراف زبانی دندان‌های قدامی

تمام این شرایط می‌توانند تأثیر مستقیمی بر بیومکانیک درمان پیشنهادی داشته باشند.


ارزیابی فضای بین‌فکی (Interarch Space)

این ارزیابی در بیماران بی‌دندان جزئی و کامل بسیار حیاتی است، چرا که این فضا هم محدودیت‌های فضایی را تعیین می‌کند و هم امکان انتخاب گزینه‌های پروتزی خاص را فراهم می‌سازد.

به‌عنوان مثال:

  • برای گذاشتن روکش سیمان‌محور (Cement‑retained) متکی بر اباتمنت ایمپلنت در ناحیه‌ی مولر اول فک پایین راست، حداقل ۸ میلی‌متر فضای بین‌فکی از ستیغ استخوان بی‌دندانی تا سطح اکلوزال دندان مقابل نیاز است. اگر این مقدار فضا وجود نداشته باشد، باید از روکش پیچ‌محور (Screw‑retained) استفاده شود.
  • در بیمار کاملاً بی‌دندان (Totally Edentulous)، حدود ۱۵ تا ۱۷ میلی‌متر فضای بین‌فکی برای اوردنچر متکی بر بار (Bar‑retained Overdenture) لازم است. اگر فضا کمتر از این مقدار باشد، باید از اوردنچر متکی بر اباتمنت (مانند Locator Attachment یا O‑Ring) استفاده شود یا در صورت نیاز، با جراحی بافت نرم و/یا سخت اضافی برداشته شود تا فضا افزایش یابد.

نسبت تاج به ایمپلنت (Crown‑to‑Implant Ratio)

این نسبت بخش مهمی از طرح درمان ایمپلنت است و باید با دقت سنجیده شود. دندان‌پزشک باید فضای بین‌فکی در ناحیهٔ مورد نظر برای تاج و ایمپلنت را اندازه‌گیری کرده و آن را با طول ایمپلنت مورد نظر مقایسه کند.

برای مثال: اگر در ناحیهٔ مولر اول فک پایین راست فاصلهٔ میان ستیغ استخوان بی‌دندانی و سطح اکلوزال دندان مقابل ۱۰ میلی‌متر باشد و طول ایمپلنت قابل کارگذاری نیز ۱۰ میلی‌متر باشد، نسبت تاج به ایمپلنت ۱ به ۱ خواهد بود. هر نسبت کمتر از ۱ به ۱ از دیدگاه بیومکانیکی مطلوب‌تر و قابل‌اعتمادتر است؛ مثلاً تاجی با ارتفاع ۸ میلی‌متر اگر بر روی ایمپلنتی ۱۳ میلی‌متری قرار گیرد. اما زمانی‌که این نسبت از ۱ به ۱ تجاوز کند ـ برای مثال تاجی به ارتفاع ۱۵ میلی‌متر بر ایمپلنتی ۸ میلی‌متری ـ پزشک باید از افزایش تدریجی خطرات بیومکانیکی ناشی از این نسبت آگاه باشد.

فاصله‌گذاری ایمپلنت و ارزیابی فک بالا

فاصله‌گذاری ایمپلنت باید به‌عنوان یک الزام ابعادی در طراحی درمان در نظر گرفته شود. هر ایمپلنت باید حداقل ۱٫۵ میلی‌متر فاصله از سطح خارجی بدنهٔ خود تا ریشهٔ دندان مجاور داشته باشد و بین دو ایمپلنت مجاور نیز باید ۳ میلی‌متر فاصله حفظ شود.

برای نمونه، اگر قرار باشد یک ایمپلنت با قطر ۴ میلی‌متر جایگزین یک دندان از‌دست‌رفته شود، حداقل فضای بی‌دندانی موردنیاز ۷ میلی‌متر خواهد بود (۱٫۵ + ۴ + ۱٫۵ = ۷ میلی‌متر).

به همین ترتیب، اگر دو ایمپلنت با قطر ۴ میلی‌متر میان دو دندان طبیعی طراحی شوند، طول ناحیهٔ بی‌دندانی باید حداقل ۱۴ میلی‌متر باشد (۱٫۵ + ۴ + ۳ + ۴ + ۱٫۵ = ۱۴ میلی‌متر).

شکل IV‑5

شکل IV‑5. حداقل فاصلهٔ مزیال تا دیستال میان دو دندان موجود برای جای‌گذاری دو ایمپلنت با قطر استاندارد، ۱۴ میلی‌متر است.


ارزیابی فک بالای بی‌دندان (Maxilla)

فک بالای بی‌دندان باید پیش از انتخاب گزینه‌های پروتزی، با دقت مورد بررسی قرار گیرد. به‌دلیل الگوی تحلیل استخوان که معمولاً به‌صورت زیرفکی (apical) و کامی (palatal) رخ می‌دهد، لازم است محل دقیق پلت‌فرم ایمپلنت و نیز موقعیت نهایی دندان‌ها با دقت مشخص شود.

در مواردی که یک یا چند دندان قدامی از بین رفته‌اند، ممکن است میزان تحلیل استخوان ستیغ ضرورت انجام پیوند استخوان پیش از کاشت ایمپلنت را ایجاب کند (شکل IV‑6).

در موارد تحلیل شدید یا آتروفی گستردهٔ فک بالا، به‌ویژه زمانی که در مقابل آن یک فک پایین دارای دندان قرار دارد، ممکن است اختلاف قدامی–خلفی به‌حدی زیاد باشد که استفاده از پروتز ثابت متکی بر اباتمنت معمولی ممکن نباشد. در چنین مواردی، گزینه‌های مناسب‌تر شامل پروتز هیبریدی ثابت متکی بر فریم‌ورک یا اوردنچر متحرک خواهد بود.

همچنین باید توجه ویژه‌ای به زیبایی لب بالا داشته باشیم. بسیاری از بیماران برای حفظ فرم طبیعی لب فوقانی خود به فلنچ لبی در پروتز فک بالا نیاز دارند، در حالی‌که برخی دیگر بدون این فلنچ نیز نتیجه‌ای قابل‌قبول خواهند داشت.

یکی از انگیزه‌های اصلی بیماران برای انتخاب ایمپلنت جهت نگهداری دست‌دندان فک بالا، امکان استفاده از پروتزی بدون پوشش کام سخت (Hard Palate) است. در اغلب موارد، با فراهم‌بودن حمایت کافی از سوی ایمپلنت‌ها، این هدف قابل دسترسی است. اما در مواردی که دهلیز باکال بسیار کم‌عمق یا طاق کامی صاف و کم‌عمق وجود دارد، ممکن است برای افزایش پایداری و بهبود عملکرد بیومکانیکی، نیاز به پوشش کامی جزئی در طراحی پروتز باشد.

شکل IV‑6

شکل IV‑6. کاهش استخوان در ناحیهٔ قدامی فک بالا: A) پس از افت دندان، معمولاً کاهش قابل توجه عمودی و باکولینگوال در استخوان آلوئولار مشاهده می‌شود (محل اصلی دندان نشان داده شده است). B) برای تسهیل جایگذاری ایمپلنت، این نوع نقص استخوانی اغلب نیازمند پیوند استخوان پیش از کاشت است.

گسترهٔ قدامی–خلفی ایمپلنت‌ها و گزینه‌های پروتزی بازسازی

یکی از عوامل تعیین‌کنندهٔ اصلی در پشتیبانی اوردنچرها و همچنین در گزینه‌های پروتزی ثابت برای فک بی‌دندان، مفهوم گسترهٔ قدامی–خلفی (Anteroposterior Spread یا AP Spread) ایمپلنت‌ها است.

گسترهٔ قدامی–خلفی به فاصله‌ای گفته می‌شود که میان دو خط فرضی افقی اندازه‌گیری می‌شود: یکی عبوری از مرکز ایمپلنت قدامی‌ترین موقعیت، و دیگری عبوری از حد دیستال ایمپلنت خلفی‌ترین موقعیت در هر سوی قوس دندانی.

هرچه مقدار AP Spread بیشتر باشد، ثبات پروتز بالاتر خواهد بود. در صورتی که نیاز باشد بار یا فریم‌ورک ثابت (Fixed Framework) برای افزایش طول یا حمایت خود به‌صورت کنسولی امتداد یابد، می‌توان فاصلهٔ AP اندازه‌گیری‌شده را در عدد ۱٫۵ ضرب کرد تا حداکثر طول مجاز امتداد (Cantilever) تعیین شود.

به‌عنوان نمونه، اگر فاصلهٔ بین مرکز ایمپلنت قدامی‌ترین موقعیت تا دیستال ایمپلنت خلفی‌ترین موقعیت برابر با ۱۰ میلی‌متر باشد، می‌توان بار یا فریم‌ورک نگه‌دارنده را تا ۱۵ میلی‌متر دیگر به سمت خلف امتداد داد (مطابق شکل IV‑7).

بااین‌حال، چنانچه طول کنسول بیش از حد زیاد باشد، این امر ممکن است منجر به شکست ساختار پروتزی شود یا نیروهای مضری را به ایمپلنت‌ها منتقل نماید، که در نهایت می‌تواند موجب آسیب انسجام ایمپلنت و حتی شکست آن شود.

شکل IV‑7

شکل IV‑7. خطوط گسترهٔ قدامی–خلفی (AP Spread) برای ارزیابی پایداری کنسول. نمای فک بالای بی‌دندان با شش ایمپلنت در موقعیت قرار داده‌شده را نشان می‌دهد که نحوهٔ محاسبهٔ کمیِ توانایی برای گسترش طول پروتز یا فریم‌ورک بر اساس گسترهٔ AP را نمایش می‌دهد.


گزینه‌های پروتزی متداول در بازسازی ایمپلنتی

گزینه‌های مختلفی برای بازسازی پروتزی ایمپلنتی وجود دارد که هر یک دارای ویژگی‌ها و محدودیت‌های خاص خود هستند. دندان‌پزشک باید از مزایا و معایب هر نوع طراحی پروتز اطلاع کافی داشته باشد.

مؤلفه‌های کلیدی در تصمیم‌گیری عبارت‌اند از:

  • هزینهٔ درمان
  • دوام و عمر مفید سازه
  • قابلیت جداسازی و بازگردانی (اتصال با سمنت یا پیچ)
  • سهولت و هزینهٔ تعمیر احتمالی
  • انتخاب مواد ساخت (آکریلیک، رزین، پرسلن و …)
  • ماهیت ثابت یا متحرک بودن پروتز
  • تقاضای کلینیکی درمان
  • انتظارات بیمار
  • توانایی حرکتی (دکستریتی) بیمار در مراقبت از پروتز

به‌عنوان مثال، بیماری با فک بالای کاملاً بی‌دندان می‌تواند دو انتخاب اصلی داشته باشد: ۱. اوردنچر متحرک متکی بر اتصالات (Attachment‑Retained Overdenture) ۲. پروتز هیبریدی ثابت تمام‌سرامیکی (All‑Ceramic Hybrid Prosthesis).

اگرچه هزینه و دوام گزینهٔ دوم، یعنی هیبرید تمام‌سرامیکی، به‌مراتب بیشتر از اوردنچر است، ولی در مقابل، قابلیت جداسازی و تعمیر اوردنچر بسیار ساده‌تر و مقرون‌به‌صرفه‌تر می‌باشد.

ممکن است بیمار از نظر مالی توان پرداخت هزینهٔ پروتز هیبریدی گران‌قیمت را داشته باشد، ولی از نظر ظرفیت فیزیکی یا مهارت مراقبتی با نیازهای کلینیکی بالاتر و نگهداری دشوارتر نوع ثابت سازگار نباشد.

منابع

  1. Hupp JR, Ellis E III, Tucker MR. Contemporary Oral and Maxillofacial Surgery. ویرایش ششم، انتشارات Elsevier، سنت‌لوئیس، ایالت میسوری، ۲۰۱۴.
سایدبار خدمات مطب دندانپزشکی رها
معرفی دکتر دانیال معدن‌کن
معرفی دندانپزشک
دکتر دانیال معدن‌کن

دکتر دانیال معدن‌کن

دکترای حرفه‌ای دندانپزشکی

تماس با ما