هدر لوکس نهایی - مطب دندانپزشکی رها
📍 کرج، چهارراه طالقانی، برج طالقانی، طبقه ۱۰، واحد ۵۰۵

مقالات دندانپزشکی

بازسازی ایمپلنت: اجزای ایمپلنت، کوپینگ قالب‌گیری و پروتز ثابت

بخش هفتم — بازسازی ایمپلنت‌های دندانی

اجزای ایمپلنت

قرار دادن موفقیت‌آمیز ایمپلنت از نظر جراحی و فرایند ترمیم مناسب، معمولاً منجر به دستیابی به ایمپلنتی می‌شود که با استخوان یکپارچه شده (اُسئواینتگریشن) و آماده مرحله ترمیمی است. ایمپلنت‌های دندانی امروزی دارای بخشی رزوه‌دار درون خود هستند که اجزای پروتزی مرحله دوم را می‌پذیرد و امکان مونتاژ دقیق سکو یا پلتفرم ترمیمی را فراهم می‌سازد.

ترمیم ایمپلنت‌ها از اجزای متعدد تشکیل شده است که برای دندان‌پزشکان تازه‌کار ممکن است گیج‌کننده باشد. این فصل به‌صورت نظام‌مند، اجزای پرکاربرد بازسازی ایمپلنت را تشریح می‌کند. نام‌گذاری‌ها در برندهای مختلف متفاوت است اما عملکرد مشترکی دارند.


بدنه یا فیکچر ایمپلنت (Implant Body or Fixture)

فیکچر، بخش اصلی ایمپلنت است که طی جراحی فاز اول درون استخوان قرار داده می‌شود. فیکچرهای امروزی عموماً ریشه‌مانند هستند و ظاهری استوانه‌ای یا مخروطی دارند و از جنس تیتانیوم یا آلیاژ تیتانیوم ساخته می‌شوند (شکل VII‑1).

امروزه اغلب فیکچرها رزوه‌دارند، در حالی که نسل‌های پیشین صاف و فشاری بودند. سازندگان با طراحی‌های متنوع رزوه، زبری سطحی و پوشش‌های گوناگون، ادغام استخوانی (Osseointegration) را بهینه می‌کنند.

بیشتر فیکچرها دارای ویژگی ضد‌چرخش (Antirotational) در محل اتصال اجزای پروتزی هستند که می‌تواند در داخل یا خارج پلتفرم قرار گیرد (شکل VII‑2).

Typical root form implant شکل VII‑1. ایمپلنت ریشه‌مانند معمولی

با اجازه‌ی شرکت Zimmer Dental Inc.، کارلسبد، کالیفرنیا.

کوپینگ قالب‌گیری (Impression Coping)

برای انتقال دقیق موقعیت ایمپلنت از دهان به مدل آزمایشگاهی از کوپینگ قالب‌گیری استفاده می‌شود. دو روش اصلی عبارت‌اند از:

  • روش تری بسته (Closed‑Tray Transfer)
  • روش تری باز (Open‑Tray Transfer)

در روش تری بسته، کوپینگ پس از قالب‌گیری جدا و روی آنالوگ سوار می‌شود؛ اما در روش تری باز، کوپینگ در قالب باقی می‌ماند. مواد قالب‌گیری پیشنهادی شامل پلی‌وینیل سیلواکسان (PVS) و پلی‌اتر (Polyether) است، و پیش از قالب‌گیری باید رادیوگرافی بررسی اتصال صحیح اجزا انجام شود (شکل VII‑4).

Implant impression coping and components شکل VII‑4. اجزای ترمیمی و کوپینگ قالب‌گیری

آنالوگ یا رپلیکا (Implant Analog or Replica)

آنالوگ‌ها در آزمایشگاه جهت بازسازی دقیق فرم پلتفرم بخش فوقانی فیکچر یا اباتمنت در مدل استفاده می‌شوند و به کوپینگ قالب‌گیری پیچ می‌گردند. در روش تری بسته، خارج از قالب نصب می‌شوند ولی در روش تری باز داخل قالب باقی می‌مانند.

پیشنهاد می‌شود پیش از ریختن قالب از ماکت بافت نرم (Soft Tissue Moulage) استفاده شود تا بافت اطراف ایمپلنت به‌درستی شبیه‌سازی گردد و تکنسین دید واقعی‌تری از آناتومی نرم بیابد.

اباتمنت ایمپلنت (Implant Abutment)

اباتمنت بخشی است که پروتز یا سوپراستراکچر (Superstructure) را نگه‌داری و حمایت می‌کند. این سازه فلزی یا زیرکونیایی به پلتفرم ایمپلنت متصل شده و گیر و ثبات پروتزهای ثابت یا متحرک را تأمین می‌کند.

انواع عمدهٔ اباتمنت:

  1. پیچ‌دار (Screw‑Retained Abutment)
  2. سمان‌شونده (Cement‑Retained Abutment)
  3. دارای اتصال پیش‌ساخته (Prefabricated Attachment Abutment)

در نوع پیچ‌دار، پروتز با پیچ به اباتمنت متصل می‌شود؛ در نوع سمان‌شونده با چسب خاص؛ و اباتمنت‌های اتصال‌دار مانند Locator یا O‑Ring برای پروتزهای متحرک استفاده می‌شوند.

به لطف فناوری CAD/CAM امکان طراحی اختصاصی اباتمنت‌ها و فریم‌ها از جنس تیتانیوم یا زیرکونیوم با دقت بالا فراهم شده است.

پیچ نگه‌دارنده پروتز (Prosthesis‑Retaining Screw)

این پیچ‌ها برای اتصال اباتمنت‌های پروتزی، تاج‌های پیچ‌شونده و فریم‌ورک‌ها به فیکچر طراحی می‌شوند. جنس معمول آن‌ها تیتانیوم، آلیاژ تیتانیوم یا آلیاژ طلا است.

طرح پیچ‌ها اغلب شش‌ضلعی یا مربعی است تا با درایورهای مخصوص درگیر شود و به وسیلهٔ آچار گشتاورسنج بسته شود. مقدار گشتاور لازم معمولاً بین ۱۰ تا ۴۰ نیوتن‌سانتی‌متر (Ncm) است.

گزینه‌های پروتز ایمپلنت برای بیماران فاقد دندان (Implant Prosthetic Options)

گزینه‌ها در بیمار بی‌دندان کامل (Options for the Edentulous Patient)

بیماران بی‌دندان کامل می‌توانند از پروتزهای متکی بر ایمپلنت یا حمایت‌شده توسط ایمپلنت بهره‌مند شوند. سه رویکرد اصلی شامل:

  • اُوردنچر متکی بر ایمپلنت و بافت نرم
  • اُوردنچر کاملاً ایمپلنت‑ساپورت
  • پروتز کامل ثابت متکی بر ایمپلنت

اُوردنچر متکی بر ایمپلنت و بافت نرم

این نوع در فک بالا یا پایین قابل اجراست؛ در فک پایین رایج‌تر است. معمولاً ۲ تا ۴ ایمپلنت (در فک بالا ترجیحاً ۴) برای حفظ گیر پروتز استفاده می‌شود.

باید از بارگذاری بیش‌ازحد ایمپلنت‌ها جلوگیری شود (شکل VII‑5). بررسی‌های دوره‌ای، رلاین‌های منظم و تعویض اینسر‌ت‌ها برای حفظ گیر لازم‌اند.

در فک بالا می‌توان بخش کام دندان مصنوعی را حذف کرد و فریم فلزی برای استحکام افزود. در بیماران با گیر بالا، احتمال شکستگی پروتز تمام آکریلیک بدون فریم فلزی بیشتر می‌شود.

Overdenture treatment with Locator attachments شکل VII‑5. درمان ایمپلنت و پروتزی در بیمار بی‌دندان فک پایین

الف) چهار ایمپلنت با اتصالات Locator قرار گرفته‌اند.
ب‍، ج) پروتز با فریم فلزی ریختگی تقویت شده است.
د) دندان کامل فک بالا در برابر اُوردنچر فک پایین قرار دارد.

Internal antirotation hex - Zimmer Implant شکل VII‑2. هگز ضدچرخش داخلی (Internal Antirotation Hex)

الف) ایمپلنت برند Zimmer با طراحی هگز داخلی و اباتمنتِ مرتبط که دارای پایه‌ی شش‌ضلعی است و برای اتصال دقیق درون ایمپلنت طراحی شده است.
ب) نمای درون‌دهانی (Intraoral) از ایمپلنت دارای هگز داخلی بدون اباتمنت.


اکثریت قریب به اتفاق ایمپلنت‌های دندانی به‌عنوان ایمپلنت‌های دو مرحله‌ای (2‑Stage) شناخته می‌شوند؛ یعنی در مرحله اول، فیکچر (بدنه ایمپلنت) از طریق جراحی در استخوان قرار داده می‌شود، و در مرحله دوم، اجزای پروتزی یا پیچ‌شونده نصب می‌گردند. اجزای مرحله دوم توسط بخش رزوه‌دار داخلی (internal thread) موجود در بدنه ایمپلنت به آن متصل می‌شوند.

البته نوعی دیگر از ایمپلنت‌ها وجود دارد که تک‌مرحله‌ای (1‑Stage) نامیده می‌شوند، که شامل بدنه رزوه‌دار مدفون در استخوان و اباتمنت پروتزی متصل به آن، در قالب یک واحد یکپارچه است؛ اما این نوع نسبتاً نادر است.

باید تفاوت میان ایمپلنت دو مرحله‌ای و رویکرد جراحی دو مرحله‌ای را درک نمود. یک ایمپلنت دو مرحله‌ای با اباتمنت ترمیمی یا شفا‌دهنده را می‌توان با رویکرد جراحی تک‌مرحله‌ای (One‑Stage Surgical Approach) یا با استفاده از درپوش (Cover Screw) در رویکرد سنتی دو مرحله‌ای جراحی قرار داد. تمام ایمپلنت‌های تک‌واحدی (1‑Piece) با رویکرد جراحی تک‌مرحله‌ای کار گذاشته می‌شوند (شکل VII‑3).

Single-stage and two-stage implants شکل VII‑3. ایمپلنت‌های تک‌مرحله‌ای و دو‌مرحله‌ای

الف) ایمپلنت و اباتمنت دو‌قطعه‌ای (بالا) و ایمپلنت تک‌قطعه‌ای (پایین؛ Zimmer).
ب) ایمپلنت تک‌قطعه‌ای (ساخت Nobel Biocare).
ج) ایمپلنت تک‌قطعه‌ای جایگزین دندان پیشین مرکزی فک پایین سمت چپ.
د) ترمیم نهایی ایمپلنت جایگزین همان دندان.
(الف با مجوز شرکت Zimmer Dental Inc.، کرلسبد، کالیفرنیا؛ ب با مجوز شرکت Nobel Biocare USA، یوربا لیندا، کالیفرنیا.)


کوپینگ قالب‌گیری (Impression Coping)

کوپینگ قالب‌گیری وسیله‌ای است که جایگاه دقیق ایمپلنت را از دهان بیمار به کست (مدل گچی) آزمایشگاهی منتقل می‌کند. این کوپینگ‌ها ممکن است مستقیماً به بدنه ایمپلنت پیچ شوند، یا روی اباتمنت ایمپلنت پیچ یا فیکس شوند (به‌صورت اسنپ یا پیچی).

برخی از کوپینگ‌های قالب‌گیری دارای سطح صاف هستند که وظیفه‌ی آن، تعیین جهت رزوه‌ها یا نظم هندسی ضد‌چرخش ایمپلنت (مانند طرح شش‌ضلعی یا سه‌لوبی) است. این ویژگی زمانی اهمیت دارد که از اباتمنت‌ها یا قطعات استاندارد کارخانه‌ای استفاده شود (شکل VII‑4).

معمولاً انتقال قالب به دو روش انجام می‌شود:
ـ روش تری بسته (Closed‑Tray Transfer): در این روش پس از برداشت قالب از دهان، کوپینگ از ایمپلنت باز شده و همراه با آنالوگ ایمپلنت (Implant Analog) درون قالب قرار داده می‌شود تا موقعیت دقیق حفظ گردد.
ـ روش تری باز (Open‑Tray Transfer): در این روش از کوپینگی مخصوص استفاده می‌شود که از درون تری قالب‌گیری بیرون می‌آید. هنگام خارج‌کردن قالب از دهان، کوپینگ درون قالب پیچ‌شده و همراه آن بیرون کشیده می‌شود.

روش تری باز معمولاً دقیق‌تر است و زمانی توصیه می‌شود که فریم‌ورک‌های بلند یا سازه‌های بار در نظر گرفته شده یا ایمپلنت‌ها زاویه‌دار و واگرا هستند، به‌طوری که خارج کردن قالب با روش بسته دشوار است.

برای قالب‌گیری، استفاده از سیلیکون پلی‌وینیل سنگین (Polyvinyl Siloxane) یا پلی‌اتر (Polyether) توصیه می‌شود. قبل از قالب‌گیری، کلینیسین باید با رادیوگرافی تأیید کند که کوپینگ قالب‌گیری به‌طور کامل و صحیح روی پلتفرم ایمپلنت نشسته است؛ در غیر این صورت، موقعیت انتقال‌یافته در مدل آزمایشگاهی اشتباه خواهد بود. در پایان قالب‌گیری، آنالوگ ایمپلنت به کوپینگ قالب‌گیری پیچ می‌شود تا ساخت مدل آزمایشگاهی با دقت انجام گیرد.

Implant restorative components شکل VII‑4. اجزای ترمیمی ایمپلنت

الف) فیکچر ایمپلنت
ب) درپوش (Cover Screw)
ج) اباتمنت شفا‌دهنده (Healing Abutment)
د) پایه قالب‌گیری تری بسته (Closed‑Tray Impression Post)
هـ) پایه قالب‌گیری تری باز (Open‑Tray Impression Post)
و) آنالوگ ایمپلنت (Implant Analog)
ز) اباتمنت سفارشی زیرکونیایی (Custom Zirconia Abutment)
ح) اباتمنت قابل موم‌کاری/ریخته‌گری (Waxable / Castable Abutment)
ط) پیچ پروتزی (Prosthetic Screw)
(با مجوز شرکت Nobel Biocare USA، یوربا لیندا، کالیفرنیا.)

آنالوگ یا رپلیکا (Implant Analog or Replica)

آنالوگ‌های ایمپلنت در آزمایشگاه برای بازسازی دقیق شکل بخش فوقانی فیکچر ایمپلنت (Fixture Analog) یا اباتمنت (Abutment Analog) در مدل دندانی ساخته می‌شوند.

هر دو نوع به‌طور مستقیم به کوپینگ قالب‌گیری پیچ می‌شوند. در روش تری بسته (Closed‑Tray Transfer) کوپینگ یا قطعهٔ آنالوگ از قالب جدا می‌شود، و در روش تری باز (Open‑Tray Transfer) داخل قالب باقی می‌ماند و آماده ریختگی است.

پیشنهاد می‌شود قبل از ریختن قالب، یک ماکت بافت نرم (Soft Tissue Moulage) از جنس الاستومر داخل قالب شکل گیرد تا بافت اطراف ایمپلنت را شبیه‌سازی کند و تکنسین دید دقیق‌تری از ساختار نرم داشته باشد.

در پایان، تکنسین مدلی کاری دقیق در اختیار دارد و می‌تواند برای ساخت اباتمنت یا فریم‌ورک پروتزی مورد نظر از آن استفاده نماید.

اباتمنت ایمپلنت (Implant Abutment)

اباتمنت بخشی از ایمپلنت است که پروتز یا سوپراستراکچر (Superstructure) را نگه‌داری و پشتیبانی می‌کند.

سوپراستراکچر سازه‌ای فلزی یا زیرکونیایی متصل به پلتفرم ایمپلنت یا اباتمنت‌هاست که گیر و ثبات پروتزهای ثابت و متحرک را تأمین می‌کند.

انواع اصلی عبارتند از:

  1. اباتمنت‌های پیچ‌دار (Screw‑Retained)
  2. اباتمنت‌های سمان‌شونده (Cement‑Retained)
  3. اباتمنت‌های دارای اتصال پیش‌ساخته (Prefabricated Attachment Abutments)

در نوع پیچ‌دار، پروتز با پیچ به اباتمنت متصل می‌شود؛ در نوع سمان‌شونده، سمان نگه‌دارندهٔ اتصال است؛ و اباتمنت‌های پیش‌ساخته مانند Locator یا O‑Ring برای نگه‌داری پروتزهای متحرک استفاده می‌شوند.

به واسطهٔ پیشرفت فناوری CAD/CAM (طراحی و ساخت به کمک رایانه)، امکان طراحی اختصاصی اباتمنت یا سوپراستراکچر با دقت بالا از جنس تیتانیوم یا زیرکونیوم فراهم شده و تحولی بزرگ در پروتزهای ایمپلنت شکل گرفته است.

پیچ نگه‌دارنده‌ی پروتز (Prosthesis‑Retaining Screw)

پیچ‌های نگه‌دارنده برای اتصال اباتمنت‌های پروتزی، تاج‌های پیچ‌شونده یا فریم‌ورک‌ها به فیکچر یا خود اباتمنت طراحی می‌شوند.

جنس معمول آن‌ها تیتانیوم، آلیاژ تیتانیوم یا آلیاژ طلا است و طراحی، ابعاد و گشتاور بر اساس سیستم ایمپلنت متفاوت است.

اکثر پیچ‌ها دارای طرح شش‌ضلعی یا مربعی هستند تا با درایور مخصوص درگیر شوند و با آچار گشتاورسنج سفت شوند.

مقدار اعمال گشتاور (Torque) معمولاً میان ۱۰ تا ۴۰ نیوتن‌سانتی‌متر (Ncm) است.

گزینه‌های پروتز ایمپلنت برای بیماران فاقد دندان
(Implant Prosthetic Options)

گزینه‌ها برای بیمار بی‌دندان کامل (Options for the Edentulous Patient)

بیماران بی‌دندان کامل می‌توانند از پروتزهای متکی بر ایمپلنت یا حمایت‌شده توسط ایمپلنت بهره‌مند شوند. سه رویکرد اصلی شامل:

  • اُوردنچر متکی بر ایمپلنت و بافت نرم (Implant and Soft‑Tissue‑Supported Overdenture)
  • اُوردنچر کاملاً متکی بر ایمپلنت (All Implant‑Supported Overdenture)
  • پروتز کامل ثابت متکی بر ایمپلنت (Complete Implant‑Supported Fixed Prosthesis)

اُوردنچر متکی بر ایمپلنت و بافت نرم

این نوع در فک بالا (Maxilla) یا پایین (Mandible) قابل اجرا است، اما در فک پایین رایج‌تر می‌باشد. معمولاً بین ۲ تا ۴ ایمپلنت (در فک بالا ترجیحاً ۴ عدد) استفاده می‌شود که به حفظ بافت نرم و حمایت مکانیکی کمک می‌کند.

رعایت پروتکل دقیق پروتزی برای جلوگیری از بارگذاری بیش‌ازحد ایمپلنت‌ها و اتصالات ضروری است (شکل VII‑5).

بیمار و دندان‌پزشک باید آگاه باشند که بررسی‌های دوره‌ای، رلاین‌های منظم و تعویض اینسر‌ت‌ها برای حفظ گیر مناسب اهمیت دارند.

در فک بالا، با وجود حداقل ۴ ایمپلنت در استخوان باکیفیت می‌توان بخش کام دندان مصنوعی را حذف کرد و برای استحکام بیشتر، فریم فلزی در پایه نصب نمود. در بیماران دارای گیر و ثبات بالا، احتمال شکستگی دندان مصنوعی تمام آکریلیک بدون فریم فلزی افزایش می‌یابد.

Overdenture treatment with Locator attachments شکل VII‑5. درمان ایمپلنت و پروتزی در بیمار بی‌دندان فک پایین با اُوردنچر متکی بر ایمپلنت و بافت نرم

الف) چهار ایمپلنت با اتصالات نوع Locator در محل خود برای اُوردنچر قرار گرفته‌اند.
ب، ج) پروتز با فریم فلزی ریختگی تقویت شده است.
د) دندان مصنوعی کامل فک بالا در برابر اُوردنچر فک پایین نگه‌داری‌شده توسط اتصالات Locator قرار دارد.

پروتز متکی بر ایمپلنت و پروتز نگهداری‌شده توسط بافت نرم (Overdenture)

این نوع پروتز می‌تواند هم در فک بالا (ماگزیلا) و هم در فک پایین (مندیبول) مورد استفاده قرار گیرد، هرچند به‌طور معمول پروتز فک پایین بیشتر درخواست می‌شود.

اصل اساسی آن این است که ایمپلنت‌ها (۲ تا ۴ عدد، و ترجیحاً ۴ عدد در فک بالا) در کنار بافت نرم ناحیه بی‌دندانی، به حفظ و حمایت از پروتز کمک کنند. در چنین مواردی، پیروی از یک پروتکل پروتزی دقیق در زمان ساخت پروتز ضروری است؛ این کار تضمین می‌کند که پروتز بیشترین استفاده از حمایت بافت نرم را داشته باشد و بیمار از مزیت نگهدارندگی ایمپلنت بهره‌مند گردد، بدون آنکه فشار بیش از حدی بر ایمپلنت‌ها و اتصالات آن‌ها وارد شود (شکل VII-5).

هم پزشک و هم بیمار باید به ضرورت نظارت مستمر بر تطابق (fit) پروتز در طول زمان توجه داشته باشند. انجام رلاین (بازسازی سطح تماس داخلی پروتز) به‌موقع برای حفظ حمایت بافت نرم بسیار اهمیت دارد. همچنین باید مجموعه اتصالات پروتز زیر نظر گرفته شود و قطعات داخل اتصالات (inserts) به‌صورت منظم تعویض شوند تا کارایی نگهدارندگی آن‌ها حفظ گردد.

در مورد پروتز فک بالا، در صورتی که حداقل ۴ ایمپلنت در استخوان باکیفیت و با عمق مناسب در ناحیه وستیبول گونه‌ای و طاق کام وجود داشته باشند، می‌توان قسمت کامی (palatal portion) پروتز را حذف کرد. توصیه می‌شود برای افزایش استحکام، چارچوب فلزی در داخل پایه‌های پروتز تعبیه شود؛ زیرا با افزایش گیر و ثبات، بیماران معمولاً قادرند با قدرت بیشتری جویدن را انجام دهند و همین امر ممکن است منجر به شکستگی پایه‌های پروتزهایی شود که فقط از آکریل ساخته شده‌اند.

Treatment of edentulous maxilla with implant-supported overdenture شکل VII-6. درمان فک بالای بدون دندان با پروتز کاملاً متکی بر ایمپلنت

A: فک بالا با ۶ ایمپلنت
B: میله تیتانیومی ماشین‌کاری‌شده با ۴ اتصال Locator
C تا E: پروتز فک بالا با کام باز و ریخته‌گری داخلی منطبق بر میله ماشین‌کاری‌شده
F: نتیجه نهایی.

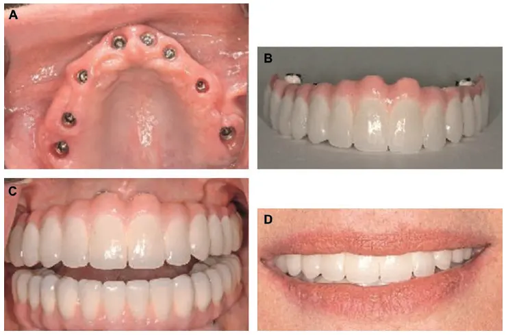
پروتز ثابت کاملاً متکی بر ایمپلنت

این گزینه را می‌توان در دو طراحی اصلی انجام داد:

  1. طراحی اول: پروتز ثابت جزئی است که با پیچ یا چسب به ۶ تا ۸ پایه ایمپلنت متصل می‌شود. این طرح مشابه پروتزهای ثابت معمولی (تاج و بریج) است و برای بیماری مناسب است که استخوان کمی از دست داده و تنها نیاز به جایگزینی دندان‌ها دارد.
    اما در اغلب موارد، بیمار دندان‌ها، بافت نرم و بخشی از استخوان را از دست داده است؛ بنابراین پروتز باید به‌گونه‌ای طراحی شود که هر سه مورد — استخوان، بافت لثه و دندان‌ها — را جایگزین کند (شکل VII-7).
  2. طراحی دوم: که معمولاً با نام پروتز هیبرید (Hybrid Prosthesis) شناخته می‌شود. در این نوع، از چارچوب ریخته‌گری‌شده یا ماشین‌کاری‌شده استفاده می‌شود که روی آن آکریل، رزین یا چینی (پرسلن) برای بازسازی استخوان از دست‌رفته، لثه و دندان‌ها قرار می‌گیرد. این چارچوب‌ها معمولاً با فناوری CAD-CAM از جنس تیتانیوم یا زیرکونیوم ساخته می‌شوند.

پس از ماشین‌کاری، بسته به انتخاب مورد نیاز بیمار، مواد جایگزین برای بافت نرم و دندان مشخص می‌گردند:

  • نسخه اقتصادی‌تر: از آکریل دندانی و دندان‌های پروتزی استفاده می‌شود.
  • گزینه‌های پیشرفته‌تر: رزین‌های آزمایشگاهی یا چینی لایه‌ای برای جایگزینی بافت نرم، و دندان‌های چینی لایه‌ای یا تاج‌های جداگانه‌ای که به‌صورت چسبی روی چارچوب تثبیت می‌شوند.

پروتز هیبرید معمولاً به‌صورت پیچ‌شده (screw-retained) طراحی می‌شود و بنابراین به‌راحتی توسط پزشک قابل خارج‌سازی و سرویس است.

Fixed implant-supported prosthesis for edentulous maxilla شکل VII-7. درمان فک بالای بدون دندان با پروتز ثابت متکی بر ایمپلنت

A: فک بالا با ۸ ایمپلنت
B: پروتز هیبرید ساخته‌شده از چارچوب تیتانیومی ماشین‌کاری‌شده با چینی برای جایگزینی لثه و دندان‌ها
C: پروتزهای هیبرید فک بالا و پایین تکمیل‌شده
D: نتیجه زیبایی نهایی درمان.

نکات مهم در تعمیر پروتزهای هیبرید

در انتخاب نوع پروتز هیبرید، باید سهولت و هزینه تعمیر را نیز در نظر گرفت:

  • هیبرید آکریلی: ساده‌ترین و ارزان‌ترین نوع برای تعمیر است.
  • هیبرید رزین آزمایشگاهی: تعمیر دشوارتری دارد و هزینه بیشتری در بر دارد.
  • هیبرید تمام‌سرامیکی: سخت‌ترین و گران‌ترین نوع برای تعمیر محسوب می‌شود.
گزینه‌ها برای بیمار با بی‌دندانی نسبی

گزینه‌ها برای بیمار با بی‌دندانی نسبی

گزینه‌های درمانی برای بیماران مبتلا به بی‌دندانی نسبی را می‌توان به دو دستهٔ متفاوت تقسیم کرد:

  1. یک دندان منفرد از دست رفته،
  2. دو یا چند دندان مجاور از دست رفته.

در هر یک از این شرایط، گزینه‌های متعددی برای ترمیم وجود دارد (شکل VII‑8). دندان منفرد از دست رفته را می‌توان با تاجی که به‌صورت چسبی روی اباتمنت قرار گرفته یا تاجی که به‌صورت پیچ‌شده مستقیماً بر روی پلتفرم ایمپلنت نصب می‌شود، بازسازی کرد. تاج چسبی ممکن است از طلا به‌صورت ریخته‌گری کامل، چینی متصل به فلز (PFM) یا تماماً سرامیکی ساخته شود.

اباتمنتی که تاج بر آن چسبانده می‌شود می‌تواند اباتمنت استوک ساخته‌شده از پیش یا اباتمنت سفارشی از جنس تیتانیوم یا زیرکونیوم باشد. ترکیب اباتمنت زیرکونیومی و تاج تمام‌سرامیکی معمولاً در ناحیهٔ قدامی برای دستیابی به حداکثر زیبایی به کار می‌رود.

شکل VII‑8. جایگزینی دندان منفرد
شکل VII‑8. جایگزینی دندان منفرد

A) رادیوگرافی قبل و بعد از کشیدن با ایمپلنت در محل
B) ایمپلنت آماده‌ی بازسازی پس از ترمیم
C) نتیجهٔ نهایی

شکل VII‑8 (ادامه)
شکل VII‑8 (ادامه): رادیوگرافی نهایی D

دو یا چند دندان مجاور از دست رفته را می‌توان با تاج‌های منفردی که به‌صورت چسبی یا پیچ‌شده هستند یا تاج‌های به‌هم متصل (اسپلینت‌شده) جایگزین کرد. در بیمارانی که بیش از دو دندان مجاور را از دست داده‌اند، ایمپلنت‌ها می‌توانند به‌عنوان پایه‌هایی برای بریج ثابت سه‌واحدی عمل کنند.

این نوع بریج می‌تواند چسبی یا پیچ‌شده باشد. برای چارچوب بریج ثابت، مواد تیتانیوم و زیرکونیوم قابل استفاده‌اند. در شرایطی خاص، پروتز می‌تواند جایگزینی برای دندان‌ها، استخوان و بافت نرم از دست رفته نیز باشد. بیماران با بی‌دندانی نسبی قادرند از پروتز هیبریدی بهره ببرند. همچنین ایمپلنت‌ها می‌توانند برای افزایش گیر پروتز متحرک جزئی استفاده شوند و باعث حذف کلاسه‌های فلزی ناخوشایند شوند.

شکل VII‑9. جایگزینی دو دندان خلفی مجاور
شکل VII‑9. جایگزینی دو دندان خلفی مجاور فک بالا

A) رادیوگرافی پیش از درمان
B) نمای شش‌ماهه پس از نصب ایمپلنت
C) اباتمنت‌های نهایی برای تاج‌های PFM
D) بازسازی تاج‌های PFM
E) رادیوگرافی نهایی

شکل VII‑10. جایگزینی پنج دندان قدامی فک بالا
شکل VII‑10. جایگزینی پنج دندان قدامی فک بالا

A) نمای پیش از درمان
B) چهار اباتمنت زیرکونیومی CAD‑CAM برای بریج چسبی
C) نتیجهٔ نهایی

شکل VII‑11. بازسازی دوطرفه ناحیه خلفی فک بالا
شکل VII‑11. بازسازی بی‌دندانی دوطرفه ناحیهٔ خلفی فک بالا

A) نمای پیش از درمان
B) شش اباتمنت زیرکونیومی برای دو بریج سه‌واحدی و پنج دندان تمام‌سرامیکی
C) پروتزهای نهایی در محل

عوارض پروتزی

مانند هر درمان دندان‌پزشکی دیگر، عوارض پروتزی ایمپلنت گاه رخ می‌دهد. علت اکثر این عوارض معمولاً بارگذاری مکانیکی بیش‌ازحد بر مجموعهٔ ایمپلنت–پروتز یا واکنش زیستی مضر است.

  • عوارض اطراف ایمپلنت (پری‌ایمپلنت): تحمل بیش از ظرفیت استخوان–ایمپلنت می‌تواند باعث کاهش استخوان اطراف یا شکست ایمپلنت شود. باقی‌ماندن سیمان یا فقدان بهداشت دهان نیز از علل شایع هستند.
  • عوارض اجزاء: ناشی از بارگذاری مکانیکی بیش‌ازحد، زاویه نادرست نیرو یا ضعف ساخت قطعه. از شل شدن پیچ‌ها تا شکستگی اجزاء ممکن است رخ دهد.
  • عوارض ساختاری: شامل آسیب‌های فلز، چینی، آکریل، رزین یا دندان‌های پروتزی که گاه قابل ترمیم و گاهی نیازمند ساخت مجدد کل پروتز هستند.

مسائل پیچیده

دندان‌پزشکی ایمپلنت با تنوع بالینی بسیار زیاد شناخته می‌شود. بیماران ممکن است پس از شکست درمان‌های قبلی یا تحلیل شدید استخوان، به عنوان آخرین گزینه مراجعه کنند. بیماران آسیب‌دیده یا مبتلا به ناهنجاری‌های مادرزادی و کرانیوفاسیال نیز غالباً نیازمند درمان‌های پیچیده‌تر هستند.

در بخش بعدی نمونه‌هایی از موارد کلینیکی چالش‌برانگیز معرفی می‌شود و نحوه‌ی همکاری جراحان فک و صورت با دندان‌پزشکان ترمیمی در طراحی این درمان‌ها نشان داده خواهد شد.

منبع:
Hupp JR, Ellis E III, Tucker MR: Contemporary Oral and Maxillofacial Surgery, 6th ed. St. Louis, Missouri, Elsevier, 2014.
سایدبار خدمات مطب دندانپزشکی رها
معرفی دکتر دانیال معدن‌کن
معرفی دندانپزشک
دکتر دانیال معدن‌کن

دکتر دانیال معدن‌کن

دکترای حرفه‌ای دندانپزشکی

تماس با ما