هدر لوکس نهایی - مطب دندانپزشکی رها
📍 کرج، چهارراه طالقانی، برج طالقانی، طبقه ۱۰، واحد ۵۰۵

مقالات دندانپزشکی

زنوگرافت استخوانی در ایمپلنت دندانی

بخش هشتم — ایمپلنت‌ها در شرایط بالینی خاص و پیچیده

بخش‌های پیشین عمدتاً بر ارزیابی بالینی و رویکردهای جراحی و پروتزی در مراقبت‌های پایه ایمپلنت دندانی متمرکز بودند. همچنین این بخش‌ها موقعیت‌های بالینی را بررسی کردند که در آن‌ها استخوان و بافت نرم کافی وجود دارد و ایمپلنت‌ها می‌توانند بدون خطر برای ساختارهای آناتومیک مانند سینوس فکی یا عصب آلوئولار تحتانی در ناحیه استخوانی قرار داده شوند.

با این حال، در بسیاری از موارد بیماران با شرایطی مراجعه می‌کنند که کاشت ایمپلنت در آن‌ها به‌مراتب پیچیده‌تر است. در برخی موارد، جای‌گذاری ایمپلنت هم‌زمان با کشیدن دندان می‌تواند سودمند باشد؛ اما در تعداد زیادی از موارد، استخوان یا بافت نرم ناکافی بوده و نیاز به تقویت یا اصلاح بافتی دارد تا زمینه کاشت ایمپلنت فراهم شود.

این بخش به ارزیابی مواردی می‌پردازد که از کاشت فوری ایمپلنت سود می‌برند، همچنین به بررسی مواردی که در آن‌ها پیوند یا افزایش استخوان و بافت نرم پیش از کاشت مفید خواهد بود. این اعمال معمولاً توسط جراحان فک و صورت انجام می‌شود که تجربه‌ی گسترده‌ای در زمینه پیوند بافت، بازسازی استخوان و بافت نرم، و کاشت ایمپلنت در شرایط غیرروتین دارند.

کاشت ایمپلنت بلافاصله پس از کشیدن دندان

در شرایطی که امکان برنامه‌ریزی کاشت ایمپلنت پیش از کشیدن دندان وجود داشته باشد، باید به زمان مناسب برای این کار توجه شود. زمان کاشت می‌تواند به سه صورت باشد:

  • بلافاصله — هم‌زمان با کشیدن دندان
  • زودهنگام — حدود دو ماه پس از کشیدن
  • دیرهنگام — بیش از شش ماه پس از کشیدن

هر یک از این زمان‌ها اندیکاسیون‌ها و مزایا و معایب خود را دارند. مزیت اصلی کاشت فوری در کوتاه بودن زمان نهایی ترمیم است، زیرا جراحی استخراج و کاشت در یک مرحله انجام می‌شوند. همچنین قرار دادن ترمیم موقت در همان زمان کاشت می‌تواند به حفظ شکل بافت نرم و دستیابی به نتایج زیبایی بهتر کمک کند.

در مقابل، عیب اصلی کاشت فوری تفاوت میان آناتومی ریشه یا ریشه‌های دندان با شکل و ابعاد ایمپلنت است، به‌ویژه در مورد دندان‌های چندریشه‌ای. حتی در دندان پیشین، تفاوت شکل بین ریشه طبیعی و ایمپلنت ممکن است باعث دشواری جای‌گذاری شود.

از دیگر معایب این روش آن است که در صورت قرارگیری ایمپلنت در معرض نیروهای اکلوزال (جویدن)، پایداری آن در بلندمدت به خطر می‌افتد. کاشت فوری زمانی توصیه می‌شود که دندان مورد نظر عفونت نداشته باشد و بتوان آن را بدون از دست دادن استخوان آلوئولار کشید.

برای موفقیت این روش، لازم است کشیدن دندان با حداقل برداشت استخوان انجام گیرد تا حمایت استخوانی تضعیف نشود. همچنین پایداری اولیه ایمپلنت هنگام کاشت برای موفقیت بلندمدت حیاتی است؛ حداقل ۴ میلی‌متر از انتهای ایمپلنت باید در استخوان محکم قرار گیرد تا ثبات اولیه حاصل شود (شکل VIII‑1).

به‌کارگیری گاید جراحی نقش مهمی در قرار دادن ایمپلنت دارد، زیرا در صورت عدم استفاده از گاید، زاویه سوراخ‌کاری ممکن است نادرست باشد و مته‌ها از دیواره حفره منحرف شوند (شکل VIII‑2).

ایمپلنت باید کمی پایین‌تر از کرست استخوان جای‌گذاری شود تا جذب طبیعی استخوان پس از کشیدن جبران گردد. در ناحیه زیبایی (قدام فک بالا)، پلتفرم ایمپلنت بهتر است حدود ۳ میلی‌متر زیر لبه آزاد لثه قرار گیرد تا پروفایل خروجی مناسب و حفظ بافت نرم تحقق یابد.

به‌طور کلی، محل ایمپلنت حدود ۱ میلی‌متر به سمت کام (Palatal) نسبت به مرکز ریشه دندان خارج‌شده تنظیم می‌شود تا کاهش حجم احتمالی کرست استخوان صورت جبران گردد.

فاصله بین ایمپلنت و دیواره حفره دندان باید بر اساس اندازه مدیریت شود:

  • اگر فاصله کمتر از ۱ میلی‌متر باشد و ایمپلنت پایدار باشد، نیازی به اقدام اضافی نیست.
  • اگر فاصله بیش از ۱ میلی‌متر باشد، ممکن است استفاده از پیوند استخوانی ذره‌ای (Particulate Graft) ضروری باشد، هرچند این موضوع محل بحث است.

در اغلب موارد، با استفاده از تکنیک‌های کشیدن بدون فلپ و آتروماتیک، بسته شدن اولیه کامل لزوماً ممکن یا مطلوب نیست. در این حالت می‌توان یک قرص کلاژن قابل جذب روی ایمپلنت قرار داد و آن را با بخیه به شکل عدد ۸ (Figure‑of‑Eight) در جای خود تثبیت کرد.

جراح و دندان‌پزشک ترمیمی ممکن است تصمیم بگیرند مدت زمان ادغام استخوانی (Osseointegration) را پیش از بارگذاری افزایش دهند. در موارد خاص، امکان قرار دادن ترمیم هم‌زمان با کاشت وجود دارد، اما باید اطمینان حاصل شود که ترمیم در تماس محکم و ایده‌آل با دندان‌های مجاور است تا از وارد شدن نیروهای نامطلوب به ایمپلنت تا زمان تثبیت آن جلوگیری شود.

Implant placed into a fresh extraction socket شکل VIII‑1. تطابق ایمپلنت در حفرهٔ تازهٔ کشیده‌شده

A، B: ایمپلنتی که در یک حفره‌ی تازهٔ کشیده‌شده قرار داده می‌شود باید در طول ۴ میلی‌متر انتهایی (apical) دارای تماس دقیق با استخوان باشد.

ایمپلنت باید کمی پایین‌تر از کرست استخوان جای‌گذاری شود تا جبران جذب طبیعی استخوان پس از کشیدن انجام گیرد.

شکاف‌های میان ایمپلنت و دیوارهٔ حفره معمولاً با استخوان اتوژن (از خود بیمار) یا استخوان آلوژن (اهدایی) پر می‌شوند؛ با یا بدون استفاده از پروتئین‌های مورفوژنتیک استخوانی (BMP).¹

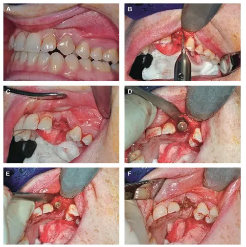
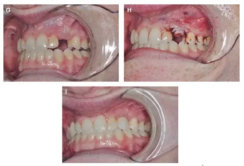
Immediate postextraction placement of implant شکل VIII‑2. کاشت ایمپلنت بلافاصله پس از کشیدن دندان

A: سگ‌دندان سمت چپ فک بالا پیش از کشیدن به‌دلیل شکستگی و تحلیل ریشه.

B: کشیدن آتروماتیک با استفاده از پریوتوم انجام شده است که منجر به حداقل از دست رفتن بافت نرم و استخوان شده است.

C: نمای محل کشیدن دندان.

D: ایمپلنت در محل کشیدن دندان قرار داده شده؛ تماس آپیکال دقیق با استخوان وجود دارد، اما شکاف کوچکی میان بخش فوقانی ایمپلنت و کرست محل مشاهده می‌شود.

E: ترمیم شکاف با استفاده از استخوان خشک‌شده منجمد (Freeze‑Dried Bone).

F: قرار دادن غشاء کلاژن قابل‌جذب روی ایمپلنت و پیوند، تثبیت‌شده با بخیه کرومیک قابل‌جذب. (شکل در ادامه صفحه بعد.)


Healed implant site شکل VIII‑2 (ادامه). نمای مراحل ترمیم

G: محل ایمپلنت پس از ترمیم کامل.

H: نمای بازکردن پوشش ایمپلنت.

I: نمای نهایی پس از قرارگیری ترمیم.¹

پیوند استخوان و مواد جایگزین استخوان

در بسیاری از موارد، ناحیه‌ای که قرار است با ایمپلنت بازسازی شود، استخوان کافی برای قرار دادن ایمپلنت ندارد. این کمبود استخوان می‌تواند ناشی از کشیدن دندان و آتروفی استخوان، پنوماتی شدن سینوس، تروماهای قبلی، ناهنجاری‌های مادرزادی یا برداشت ضایعات پاتولوژیک باشد. در چنین شرایطی باید استخوان افزایش یا تقویت شود تا امکان حمایت کافی برای کاشت ایمپلنت وجود داشته باشد. بسته به حجم و شکل مورد نیاز استخوان، منابع مختلفی برای تأمین مادهٔ پیوندی وجود دارد.


پیوندهای اتوژن (Autogenous Grafts)

استخوان اتوژن را می‌توان از نواحی مختلف آناتومیک برداشت کرد. در داخل دهان (intraoral)، برداشت استخوان می‌تواند از سیمفیز مندیبل، راموس، یا ناحیهٔ توبروزیتهٔ فک بالا انجام شود.

  • استخوان ناحیهٔ توبروزیته عمدتاً اسفنجی (cancellous) است.
  • در مقابل، استخوان راموس / بخش خلفی بدن مندیبل عمدتاً کورتیکال است.
  • سیمفیز بهترین منبع داخل‌دهانی برای برداشت حجم مناسبی از استخوان کورتیکال و اسفنجی محسوب می‌شود (شکل VIII‑3).

در شرایطی که حجم بیشتری از استخوان لازم باشد—برای مثال در موارد فک پایین بی‌دندان آتروفیک یا لیفـت سینوس دوطرفه—در صورت استفاده از استخوان اتوژن، باید برداشت از ناحیه‌ای خارج‌دهانی (extraoral) در نظر گرفته شود. رایج‌ترین ناحیهٔ برداشت استخوان، سریر ایلیاک قدامی (anterior iliac crest) است. سایر نواحی شامل بخش پروگزیمال قدامی تیبیا، فیبولا و کالواریوم جمجمه هستند.


آلوگرافت‌ها (Allografts)

پیوندهای استخوانی آلوژن که از اهدای جسد (cadaveric) تهیه می‌شوند، تحت فرایندهای خاصی استریلواکنش ایمنی

فرایند استریل‌سازی باعث از بین رفتن خاصیت استخوان‌زایی القایی (oste oinduction) در پیوند می‌شود، اما این نوع پیوند همچنان یک داربست (scaffold) مناسب فراهم می‌کند که امکان رشد استخوان جدید (osteoconduction) را مهیا می‌سازد. در طی فاز ترمیم، ادغام استخوانی، بازسازی (remodeling) و جذب رخ می‌دهد.

فرم‌های دانه‌دانه (granular) آلوگرافت سطح تماس بیشتری ایجاد کرده و انطباق بهتری در ناحیهٔ پیوند به وجود می‌آورند؛ بنابراین پرتکرارترین گزینه جهت اصلاح نقص‌های کانتور برجستگی آلوئولار به‌شمار می‌آیند.

مزایا:

  • عدم نیاز به ناحیهٔ دهندهٔ اضافی
  • در دسترس بودن نامحدود
  • امکان انجام فرایند در محیط سرپایی (outpatient)

عیب:

  • میزان جذب بالا که منجر به باقی ماندن حجم استخوانی کمتر برای کاشت ایمپلنت می‌شود.

Sites of autogenous bone graft harvest شکل VIII‑3. نواحی برداشت استخوان اتوژن

A: نواحی برداشت استخوان از بخش خلفی بدن مندیبل یا راموس و ناحیهٔ سیمفیز.

B: تصویر بالینی برداشت استخوان از ناحیهٔ سیمفیز.

C: آناتومی برداشت از سریر ایلیاک.

D: تصویر بالینی برداشت استخوان از سریر ایلیاک.

(بخش C برگرفته از: Bagheri SC, Jo C: Clinical Review of Oral and Maxillofacial Surgery. Mosby, 2008.)¹

زنوگرافت‌ها و پروتئین‌های مورفوژنتیک استخوانی (BMP)

زنوگرافت‌ها (XENOGRAFTS)

زنوگرافت‌ها از بخش غیرآلی استخوان (inorganic portion) استخراج‌شده از گونه‌هایی تهیه می‌شوند که از لحاظ ژنتیکی با گیرندهٔ پیوند متفاوت هستند.

رایج‌ترین منبع زنوگرافت‌ها استخوان گاوی (bovine bone) است.

مزایا و معایب زنوگرافت‌ها مشابه آلوگرافت‌ها است، از جمله بروز جذب قابل‌توجه پس از پیوند (post‑grafting resorption) که ممکن است حجم نهایی استخوان ترمیم‌شده را کاهش دهد.

پروتئین‌های مورفوژنتیک استخوانی (Bone Morphogenetic Proteins – BMPs)

یکی از هیجان‌انگیزترین پیشرفت‌ها در حوزهٔ پیوند استخوان، پژوهش‌های گسترده پیرامون پروتئین‌های مورفوژنتیک استخوانی (BMPs) بوده است.

BMPها خانواده‌ای از فاکتورهای پروتئینی هستند که جدا شده و برای بازسازی اسکلت فک و صورت (maxillofacial skeleton reconstruction) مورد استفاده قرار گرفته‌اند.

این پروتئین‌ها قادرند ترمیم پیوند استخوانی را بهبود بخشند و در بسیاری از موارد می‌توانند جایگزین سایر مواد پیوندی استخوانی شوند. از میان آنها، BMP‑2 انسانی نوترکیب (recombinant human BMP‑2) استخراج، تولید و بسته‌بندی شده و برای استفاده در جراحی‌های پیوند استخوانی در دسترس قرار دارد.

BMP معمولاً بر روی حامل‌هایی از جنس اسفنج‌های کلاژن قابل‌جذب (absorbable collagen sponges) قرار می‌گیرد تا در محل پیوند به‌سادگی قابل جای‌گذاری باشد.

در نواحی استخراج دندان (extraction sites)، BMP می‌تواند دور ایمپلنت‌ها جای‌گذاری شود و به فرایند اُسئواینتگریشن (osseointegration) کمک کند.

در نقص‌های استخوانی بزرگ‌تر، BMP غالباً با مواد هدایت‌کنندهٔ استخوانی آلوژن (osteoconductive allogeneic materials) ترکیب می‌شود تا حجم پیوند افزایش یافته و امکان شکل‌دهی بهتر و نگهداری مادهٔ پیوندی فراهم گردد.

ترکیب BMP با اسفنج کلاژن قابل‌جذب برای لیفـت سینوس (sinus lifting) و بازسازی نقص‌های استخوانی غیرتحمل‌کنندهٔ بار (non–load‑bearing defects) نیز کاربرد دارد (شکل VIII‑4).

مزایا:

  • حذف نیاز به جراحی در ناحیهٔ دهنده (donor site)
  • افزایش تشکیل استخوان در ناحیهٔ تقویت‌شده

معایب:

  • بروز ادم پس از عمل جراحی (postoperative edema) قابل‌توجه
  • هزینهٔ بالای BMP

شکل VIII‑4. پروتئین مورفوژنتیک استخوانی (BMP)

Bone Morphogenetic Protein BMP Kit and CT Images

A: کیت محتوی BMP مایع و اسفنج‌های حامل کلاژن.
B: سی‌تی‌اسکن سه‌بعدی فضای بی‌دندان با نقص دیوارهٔ لبی (facial wall defect).
C: ایمپلنت در محل قرار داده شده است.
D: ترکیب مادهٔ آلوژن با BMP روی اسفنج کلاژن که نقص استخوانی را می‌پوشاند.
E: سی‌تی‌اسکن سه‌بعدی پس از عمل نشان‌دهندهٔ ترمیم استخوانی بسیار مطلوب است.
F: ایمپلنت ترمیم‌شده در موقعیت نهایی.

سایدبار خدمات مطب دندانپزشکی رها
معرفی دکتر دانیال معدن‌کن
معرفی دندانپزشک
دکتر دانیال معدن‌کن

دکتر دانیال معدن‌کن

دکترای حرفه‌ای دندانپزشکی

تماس با ما